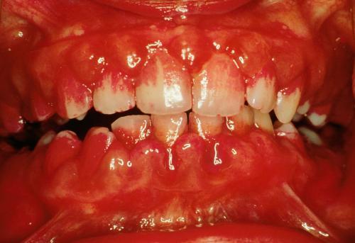
上火牙龈

上火能引起牙龈肿了(居家上火牙龈肿了怎么办)
图片尺寸480x640
"牙龈上火"用盐水就行?
图片尺寸540x328
问:请问我牙龈有点像裂开 是因为上火么?还是细菌感染?
图片尺寸441x414
别再把牙龈肿痛当上火啦
图片尺寸340x237
牙龈出血么每天出血, 肿胀真的是上火所致吗?
图片尺寸500x343
牙龈红肿疼痛真相可不是上火那么简单
图片尺寸500x375
多了一点肉,刚开始以为是上火了牙龈肿了而已,后来发现竟
图片尺寸780x1052
牙龈脓包肿包牙疼专用药上火肿痛消焱牙周炎牙龈出血萎缩喷剂
图片尺寸800x800
经常牙龈肿痛牙周炎不好不一定是上火中医滋阴潜阳引火归元
图片尺寸1023x682
上火牙龈肿痛小妙招,牙龈肿痛有什么症状?
图片尺寸640x452
牙龈上火降火最快的方法
图片尺寸454x400
上火牙龈肿痛怎么办大致分为三种类型看看你是属于哪一种
图片尺寸660x402
网友1382074提问口腔上火牙龈肿痛怎么办
图片尺寸618x247
【大药房直发】专治牙疼虫牙有痛停止痛药上火消炎牙龈肿痛药丁细牙痛
图片尺寸800x800
智齿牙龈肿痛消炎冠周炎牙膏牙疼上火牙龈敏感萎缩止疼消炎漱口水
图片尺寸280x380
四十岁后牙齿松动上火牙痛牙龈红肿萎缩并非完全是牙没刷干净所引起
图片尺寸430x312
牙龈肿痛是什么原因上火牙龈肿痛怎么办
图片尺寸500x384
速效牙疼药牙痛宁立可停喷雾剂不上火牙龈肿痛消炎神器蛀虫智齿
图片尺寸800x800
上火牙龈肿痛的症状
图片尺寸552x390
垂直阻生智齿,下颌左边长出,上颌都没有长出,上火时牙龈疼,左下智齿长
图片尺寸560x420