上颌牙齿

上颌前突 下巴后缩,几岁矫正好?
图片尺寸6000x4000
上颌的牙齿已经整整齐齐啦下颌的牙齿也已经变得齐齐的啦没有前面突
图片尺寸570x380
导语:上颌尖牙埋伏阻生是临床上较常见的错颌畸形,其病因复杂,类型多
图片尺寸640x383
图1 上颌前牙区腭侧高位埋伏多生牙拔除术"类m型切口"如果埋伏多生牙
图片尺寸645x429
初中生上颌牙齿排列不整齐,矫正器第一天.#正畸 #牙科 - 抖音
图片尺寸1080x1440
郑州种植牙医生刘成龙:上颌磨牙区单颗种植案例 - 知乎
图片尺寸3984x2656
上颌侧切牙阻生一例
图片尺寸680x435
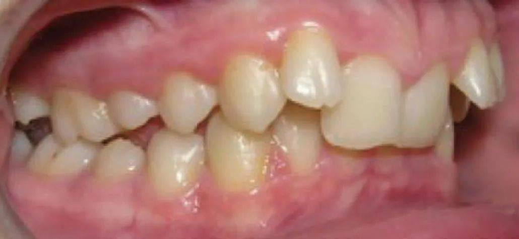
儿童安氏Ⅱ类错的特征与治疗_上颌
图片尺寸1030x476
上颌前突 下巴后缩,几岁矫正好?
图片尺寸6000x4000
口内上颌照片,帮助医生判断上排牙齿的错位情况以及牙弓形态
图片尺寸1600x1066
自信美丽的笑脸,来自洁白整齐的牙齿_上颌_前牙_孩子
图片尺寸365x239
上颌#5拔牙案例_杭州民生多仁口腔门诊部 杭州牙齿矫正医院 口腔医院
图片尺寸1936x1296
深圳牙齿正畸哪家强,求推荐?
图片尺寸720x489
牙齿问题下前牙轻度拥挤上颌前突
图片尺寸498x270
上颌16牙齿劈裂治疗一例
图片尺寸2448x2448
上颌骨的u形卵形拱形.医学上准确的牙齿3d插图
图片尺寸1200x900
上颌人类的牙龈和牙齿.医学上准确的牙齿3d插图
图片尺寸1200x796
上颌牙
图片尺寸1981x1640
虎牙,指唇侧错位的上颌尖牙,是一种常见的畸形牙,它突出于牙弓之外
图片尺寸331x236
为什么上颌虎牙容易长歪?
图片尺寸1620x1080