下门牙乳牙

我儿子六周半了,下门牙乳牙还没掉,里面又长新牙了,乳牙一点都不松动
图片尺寸768x1024
孩子6岁,刚发现下门牙里面又长了两颗牙,有一颗挺大的,怎么办啊,拔掉
图片尺寸881x546
乳牙仍不放弃,下一步增长根牙
图片尺寸700x467
赵医生您好,我家小孩5岁9个月,下门牙长得位置不正,靠口腔里面,请问赵
图片尺寸554x350
孩子出现两排下门牙是怎么回事? - 好大夫在线
图片尺寸492x311
孩子乳牙没掉就长新牙怎么办 小孩的乳牙没掉又长新牙怎么办
图片尺寸1080x1440
孩子下门牙长了恒牙,乳牙还没掉,也不怎么松动,要去拔掉吗
图片尺寸2423x1693
我儿子8岁8个月大,乳牙时正常到换门牙时才发现反颌应该什么时候进行
图片尺寸375x500
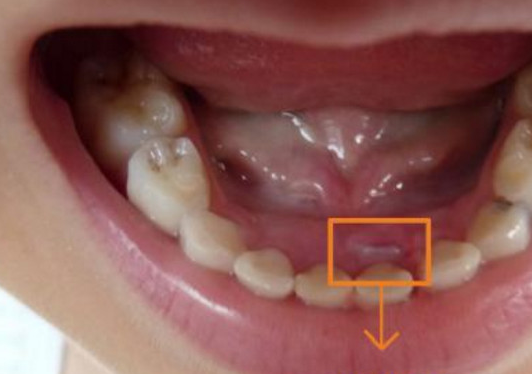
右侧下面的这颗是乳牙,有一颗恒牙横着长在
图片尺寸480x640
孩子到了一定年纪乳牙为啥还不掉?怎么办?
图片尺寸450x336
让家长纠结的乳牙(一)
图片尺寸560x544
乳牙储存起来能救命!你还在扔房顶,埋土里么?
图片尺寸934x587
乳牙
图片尺寸828x1104
一例乳牙拔除的启示牙医圈每日病例分享
图片尺寸675x578
警惕5个原因导致宝宝乳牙迟迟不掉
图片尺寸1080x1440
孩子换牙要留意,这个情况很重要,妈妈必须知道|乳牙|蛀牙|拔牙|牙齿
图片尺寸500x629
孩子乳牙不脱落长出了双排牙 作为家长的你知道是什么原因吗_牙齿
图片尺寸532x374
换牙时"乳牙"还没掉新牙就长出来了,出现"双排牙"怎么办?
图片尺寸1600x1066
小孩乳牙稀疏现在要不要矫正
图片尺寸411x237
绿色标的都是乳牙.
图片尺寸1077x816