主动脉瓣钙化

ct显示钙化的主动脉瓣
图片尺寸640x555
林永青type1型二叶式主动脉瓣狭窄伴极重度钙化tavr一例
图片尺寸1101x552
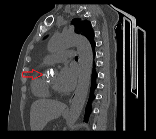
无造影剂ct显示冠状动脉钙化
图片尺寸605x562![求教下这种胸主动脉全程钙化,该考虑什么呢? [病例帖]](https://i.ecywang.com/upload/1/img0.baidu.com/it/u=2607576379,3247688255&fm=253&fmt=auto&app=138&f=JPEG?w=500&h=667)
求教下这种胸主动脉全程钙化,该考虑什么呢? [病例帖]
图片尺寸774x1032
术前ct显示陈女士主动脉瓣严重钙化
图片尺寸534x475
主动脉瓣二瓣化畸形 - 好大夫在线
图片尺寸540x960
【心血管疾病】冠心病如何筛查更靠谱?_钙化
图片尺寸1080x524
图3.主动脉及冠状血管钙化4.
图片尺寸553x533
主动脉瓣的病变,什么时候该考虑手术了
图片尺寸700x427![求教下这种胸主动脉全程钙化,该考虑什么呢? [病例帖]](https://i.ecywang.com/upload/1/img2.baidu.com/it/u=441481879,4293194488&fm=253&fmt=auto&app=138&f=JPEG?w=375&h=500)
求教下这种胸主动脉全程钙化,该考虑什么呢? [病例帖]
图片尺寸774x1032
冠状动脉钙化起于幼年形成于老年并非都有危害
图片尺寸867x966
bmj主动脉瓣狭窄的诊断与治疗
图片尺寸471x455
冠状动脉钙化
图片尺寸849x416
什么是冠脉钙化需要治疗吗
图片尺寸960x720
此血管周围钙化点并非主动脉夹层征象
图片尺寸1744x1080
主动脉左右冠瓣交界处钙化并关闭不全
图片尺寸720x576
刘长福type0型二叶式主动脉瓣狭窄伴重度钙化tavr一例
图片尺寸975x510
a,主动脉瓣钙钙化
图片尺寸943x1396
主动脉增宽,钙化斑块内移,降主动脉可见"双腔征".
图片尺寸1080x1440
什么是主动脉瓣疾病
图片尺寸446x487