乳牙门牙

两岁了宝宝乳牙都还没有长齐正常么
图片尺寸607x616
乳牙门牙缝大到底是怎么回事
图片尺寸650x359
7岁小朋友乳牙门牙掉了两颗只长了一颗正常吗
图片尺寸500x375
孩子3周岁半,门牙有豁口,怎么回事
图片尺寸1152x2048
第一颗门牙光荣下岗
图片尺寸480x640
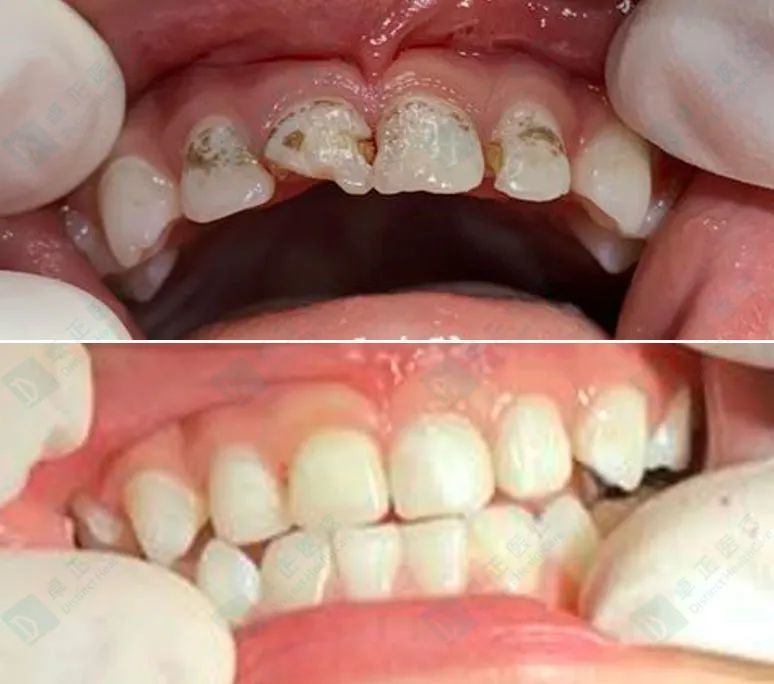
乳牙门牙龋,到底能不能补?_腾讯新闻
图片尺寸774x684
小孩7岁乳牙己经掉了,门牙上方牙龈处长了一颗牙齿,这是什么牙,恒牙吗
图片尺寸460x816
门牙换牙了,昨天给他刷牙时才发现这个新长的牙齿明显比旁边的乳牙黄
图片尺寸640x427
宝宝门牙乳牙被腐蚀图片
图片尺寸600x401
门牙掉了怎么办最快解决(至家长:孩子门牙摔断了千万别扔!
图片尺寸375x410
医生:原因有3种,家长要重视_乳牙_牙齿_乔乔
图片尺寸1080x744
乳牙不是会换吗?为什麼要治疗?
图片尺寸600x355
先介绍下姐姐目前乳牙状况,门牙及门牙左右两边牙齿共四颗牙齿被蛀,被
图片尺寸2073x1199
宝宝门牙龋齿怎么控制 怎么预防龋齿_孩子乳牙龋齿要不要拔牙_预防
图片尺寸400x285
我儿子8岁8个月大,乳牙时正常到换门牙时才发现反颌应该什么时候进行
图片尺寸375x500
10个多月就发现乳牙发育不良了010101
图片尺寸1080x1439
孩子到了一定年纪乳牙为啥还不掉?怎么办?
图片尺寸450x336
未及时治疗,4岁男童一口牙几乎烂光 写美篇同时,瑞瑞下门牙有2颗乳牙
图片尺寸1000x667
6岁孩子长出"双排牙",父母爱孩子的行为,却变成了"害"孩子|乳牙|恒牙
图片尺寸640x482
千万不要相信"乳牙迟早要换,蛀了也没关系"这种话!
图片尺寸536x257