乳腺癌肺转移

临床案例:luminal型乳腺癌术后肺转移一例
图片尺寸640x468
我妈妈乳腺癌肺转移现在情况是不是很严重
图片尺寸828x690
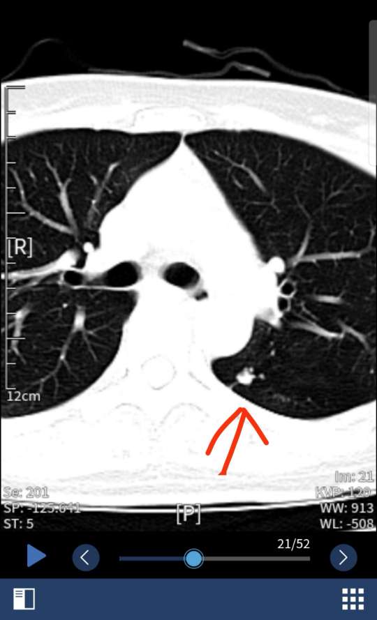
乳腺癌 肺小结节可能转移
图片尺寸540x889
穿刺病理报告:乳腺癌转移瘤
图片尺寸676x349
7年随访无复发,他莫昔芬治疗乳腺癌肺转移显奇效_医学界-助力医生临床
图片尺寸986x714
病理证实,乳腺癌肺转移
图片尺寸1080x1080
查出多发肺转移和双侧胸腔积液:这是一位67岁女性,3年轻查出乳腺癌,做
图片尺寸640x372
乳腺癌为什么容易向肺部转移
图片尺寸4032x3016
乳腺癌术后单个结节肺转移误诊为放射性肺损伤.pdf 2页
图片尺寸792x1130
乳腺癌的转移恶化播散途径主要有哪些
图片尺寸500x500![乳腺癌术后一年,肺内病灶是否转移? [病例帖]](https://i.ecywang.com/upload/1/img0.baidu.com/it/u=1721588546,1854905982&fm=253&fmt=auto&app=138&f=JPEG?w=500&h=626)
乳腺癌术后一年,肺内病灶是否转移? [病例帖]
图片尺寸1080x1353
【病例讨论】her2 阳性晚期乳腺癌脑转移双靶治疗的思考?
图片尺寸986x371
例精图治丨假如不放弃她的pfs可能更长一例her2转移性乳腺癌的治疗
图片尺寸1080x810
乳腺癌患者咳嗽胸痛,是发生肺部转移了吗?_检查_进行_放疗
图片尺寸1200x615
乳腺癌多发肺转移及胸膜转移.
图片尺寸512x512
一例her2阳性激素受体阳性转移性乳腺癌病例分享
图片尺寸867x515
乳腺癌肺转移射波刀病历分享
图片尺寸657x456![乳腺癌术后一年,肺内病灶是否转移? [病例帖]](https://i.ecywang.com/upload/1/img2.baidu.com/it/u=3058763624,348243230&fm=253&fmt=auto&app=138&f=JPEG?w=500&h=667)
乳腺癌术后一年,肺内病灶是否转移? [病例帖]
图片尺寸1080x1440
报道: 生物外泌体驱动对接纳米颗粒对原位乳腺癌肺转移的特异性化疗
图片尺寸600x493
关于乳腺癌的罕见转移病例一文分享诊疗思路
图片尺寸515x786