乳腺结节癌变

三阴性乳腺癌的mdt诊疗实例
图片尺寸582x197
局部晚期乳腺癌病例分享一例(图片很震撼,胆小者勿看)
图片尺寸490x610
难得糊涂乳腺癌皮肤转移
图片尺寸450x337
这3类结节易"癌变",再小也不能忽视!|甲状腺|乳腺|水湿_网易订阅
图片尺寸500x408
乳腺癌小结节未重视7年后她的乳房肿得像烂石榴
图片尺寸1080x564
巨大乳腺癌耽误近3年却意外获根治 专家:巨大乳腺癌需警惕是否有转移
图片尺寸300x225
距离癌症只差一步的4a级乳腺结节变3类良性了我是如何扭转乾坤的
图片尺寸1080x1269
当"乳腺结节"遇上"钙化" ,就是癌吗!
图片尺寸1020x430
乳腺结节,请问谁知道的吗?帮我看看,这个严重吗?
图片尺寸1080x1440
乳腺癌
图片尺寸601x500
这几种结节有癌变风险自己摸摸就能知道
图片尺寸612x341
乳腺钼靶检查发现的乳腺癌,就是图片上那个白色的肿块,边界不清楚,有
图片尺寸750x940
乳腺癌x线常见漏诊及误诊
图片尺寸960x658
乳腺增生结节肿瘤摸起来什么区别
图片尺寸468x275
乳腺癌术后胸壁巨大转移灶氩氦刀冷冻治疗
图片尺寸640x649
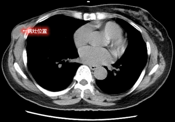
胸部增强ct:左乳腺体及胸壁内见多发结节影,部分相融,增强扫描可见
图片尺寸694x513
乳腺癌术后的胸壁结节都是恶性的吗
图片尺寸600x450
95%女性患有乳腺结节:千万别拖,恶性结节会癌变!
图片尺寸640x360
乳腺癌术后的胸壁结节都是恶性的吗
图片尺寸600x418
乳腺结节
图片尺寸3142x2000