二分髌骨
![典型骨病系列 13 (二分髌骨 vs 骨折) [病例帖]](https://i.ecywang.com/upload/1/img1.baidu.com/it/u=1513552316,245736146&fm=253&fmt=auto&app=138&f=PNG?w=525&h=457)
典型骨病系列 13 (二分髌骨 vs 骨折) [病例帖]
图片尺寸525x457
易被误诊为髌骨骨折的少见病:二分髌骨_膝关节损伤 - 好大夫在线
图片尺寸400x400
易误诊为骨折的二分髌骨
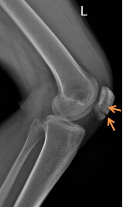
图片尺寸824x1199
小髌骨腻害了竟能整出这么多事影像日记005期
图片尺寸443x491
二分髌骨的解剖及影像表现-中国健康
图片尺寸640x427
易误诊为骨折的二分髌骨
图片尺寸1080x1106
易误诊为骨折的二分髌骨
图片尺寸532x522
髌骨周围疼痛有捻发音可能是髌骨关节疼痛综合征在作怪
图片尺寸1080x810
二分髌骨对踢足球有影响吗
图片尺寸744x992
这些看片技巧不可错过!_髌骨
图片尺寸394x668
易误诊为骨折的二分髌骨
图片尺寸794x500
髌骨
图片尺寸2795x1031
髌骨软化_髌骨软骨软化症_髌骨软骨软化症疾病介绍
图片尺寸767x614
易误诊的二分髌骨 - 丁香园论坛
图片尺寸1184x1184
髌骨脱位_髌骨脱位介绍 - 好大夫在线
图片尺寸1140x853
易误诊的二分髌骨 - 丁香园论坛
图片尺寸1184x1184
结构:人工全膝关节包括股骨假体,胫骨假体和髌骨假体.
图片尺寸529x540
易误诊的二分髌骨 - 丁香园论坛
图片尺寸1184x1184
二分髌骨.jpg
图片尺寸612x419
二分髌骨鉴赏(转载)
图片尺寸597x332