侧切牙过小

多学科联合治疗上侧切牙畸形过小牙一例——孙丽艳医师
图片尺寸640x313
多学科联合治疗上侧切牙畸形过小牙一例——孙丽艳医师
图片尺寸469x230
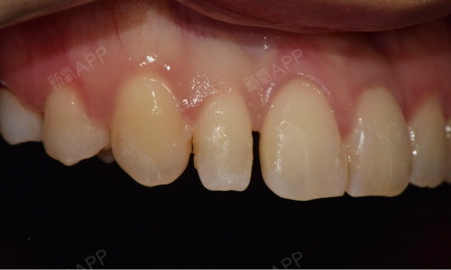
求助各位老师们,畸形侧切牙,中切牙轻微扭转且有
图片尺寸510x287
多学科联合治疗上侧切牙畸形过小牙一例——孙丽艳医师
图片尺寸640x327
多学科联合治疗上侧切牙畸形过小牙一例——孙丽艳医师
图片尺寸530x231
多学科联合治疗上侧切牙畸形过小牙一例——孙丽艳医师
图片尺寸640x484
病例分享过小侧切牙的直接修复
图片尺寸1080x656
总结:侧切牙过小牙是一种常见的发育畸形.
图片尺寸1080x825
病例分享过小侧切牙的直接修复
图片尺寸1080x708
图 6-17 侧切牙过小牙.图 6-18 双侧上颌侧切牙过小牙,影响美观.
图片尺寸1080x715
畸形的过小牙多好发于上颌侧切牙,临床表现多为牙齿形_圈子-新氧美容
图片尺寸500x300
刘女士,左上侧切牙,过小牙,要求贴面修复
图片尺寸2973x2000
一位16岁的男性患者,临床表现为侧切牙过小牙,且22属于严重病例.
图片尺寸772x720
多学科联合治疗上侧切牙畸形过小牙一例——孙丽艳医师
图片尺寸640x431
刚才上面的侧切牙里面掉了一小块然后我照了一下,旁边的牙内部好像也
图片尺寸768x1024
总结:侧切牙过小牙是一种常见的发育畸形.
图片尺寸1080x795
答:正如之前讲到的,这可能是因为还没有长出来的侧切牙(侧门牙)在骨头
图片尺寸403x594
超薄瓷贴面修复双侧过小侧切牙1例
图片尺寸315x231
超薄瓷贴面修复双侧过小侧切牙病例分析
图片尺寸373x274
病例分享过小侧切牙的直接修复
图片尺寸1080x838