修复性牙本质

口组修复性牙本质七颗牙学堂精品课程
图片尺寸1152x720
novamin技术修复牙本质小洞100gx3支舒适达专业修复抗敏感牙膏
图片尺寸1581x2023
为什么根管治疗要做冠部修复
图片尺寸1080x720
牙体修复中牙本质肩领很重要吗?(之一)
图片尺寸364x414
牙齿缺损该如何修复不同的情况修复方式大有不同
图片尺寸876x498
牙齿缺失三种修复方式
图片尺寸1389x731
不同,对牙髓的刺激性,软化牙本质有再矿化作用,修复性牙本质的形成
图片尺寸456x295
诊断结果:牙齿龋坏质牙本质深层治疗 治疗方案:根据顾客情况而定,先
图片尺寸640x480
牙齿敏感又叫牙本质敏感,一般是指牙齿在遇冷热酸甜等刺激的情况下,会
图片尺寸1080x1440
洞内及37颊沟可见部分旧充填物,继发龋坏,达牙本质深层,36探诊无不适
图片尺寸915x509
牙齿修复的方法和价格了解下
图片尺寸1280x918
若龋洞未穿髓 选择直接复合树脂充填 瓷贴面 若龋坏达牙本质深层穿髓
图片尺寸560x304
老年人活动假牙修复,恢复咀嚼力,正常进食!
图片尺寸1343x611
还是动手开始补,万幸是没有露髓,但牙本质也暴露较多,所以补牙过程
图片尺寸500x417
牙本质肩领很充足
图片尺寸640x371
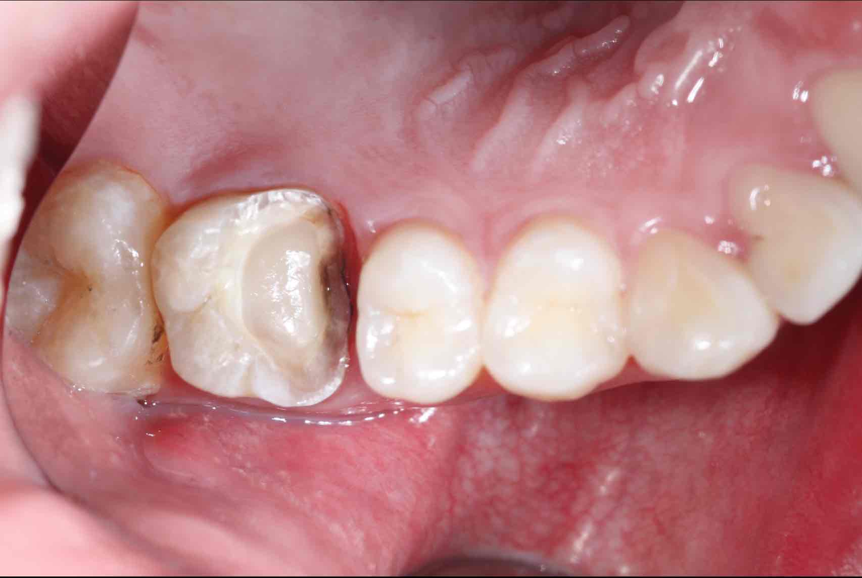
拆除后窝洞内已经发现龋坏并且银汞材料对牙本质造成了染色我们可以
图片尺寸1706x1144
遗传性乳光牙本质的固定修复1例
图片尺寸893x1316
牙釉质可以修复吗(牙釉质可以修复吗多少钱)
图片尺寸1280x697
乳牙着色又比恒牙明显,因为乳牙的釉质较薄,较透明,不易遮盖牙本质中
图片尺寸500x269
固定义齿联合活动义齿修复牙本质发育不全病例报告
图片尺寸760x287