儿童扩牙弓

扩弓与脸型之间的关系_贵州遵义双宁口腔医院
图片尺寸800x529
正畸临床病例(八)—"横向先行"扩弓的方法与技巧
图片尺寸2256x1268
儿童扩牙弓最好的年龄竟然不是10岁有孩子的一定要看
图片尺寸500x333
什么是快速扩弓器扩弓矫治初体验
图片尺寸450x600
自制扩弓器扩大上合牙弓效果还可以吧,解除了单侧锁合及拥挤! - 抖音
图片尺寸1920x1894
儿童反颌 #地包天 #宝宝乳牙地包天
图片尺寸1080x809
七周岁5个月准备上扩弓器
图片尺寸1080x540
关于牙齿扩弓刘婷婷医生告诉你哪些可以做扩弓不用拔牙矫正
图片尺寸426x336
前牙反合矫治一例
图片尺寸640x640
一文告诉您错合畸形的危害
图片尺寸640x394
7岁儿童牙弓狭隘有必要戴扩弓矫正器吗怕矫正期孩子会很痛
图片尺寸400x400
儿童进行牙齿扩弓好不好
图片尺寸500x332
儿童扩牙弓一般扩多少天
图片尺寸800x600
双眼圈簧扩大下牙弓
图片尺寸620x620
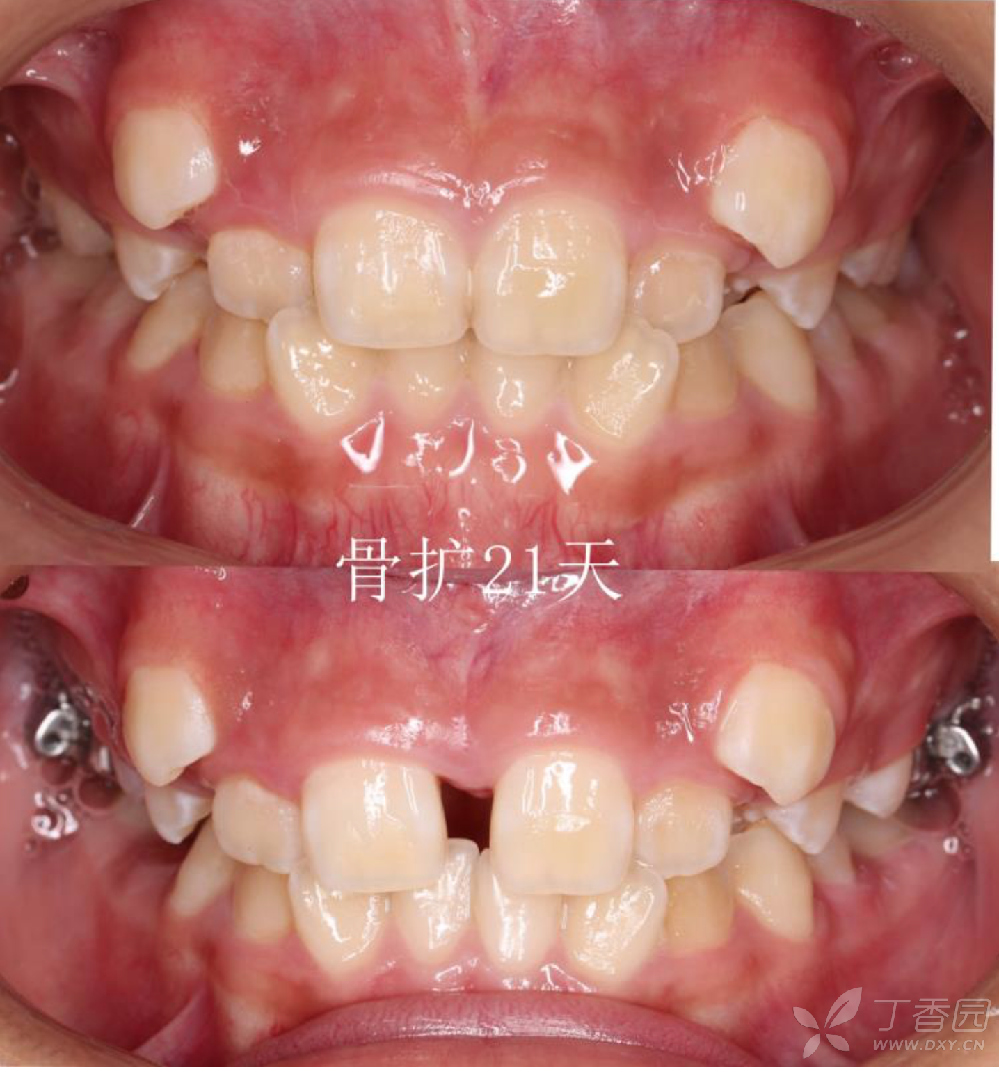
正畸临床病例(八)—"横向先行"扩弓的方法与技巧
图片尺寸1436x1534
儿童戴扩弓器会很难受吗像13岁孩子带扩弓器需要多长时间
图片尺寸793x531
扩牙弓后脸型会变宽吗
图片尺寸600x414
本想扩弓改变嘴凸有人说牙齿扩弓后会更凸真的吗
图片尺寸527x254
扩弓结束96阶段性胜利70
图片尺寸1080x1439
扩弓
图片尺寸436x336