克雅二氏病

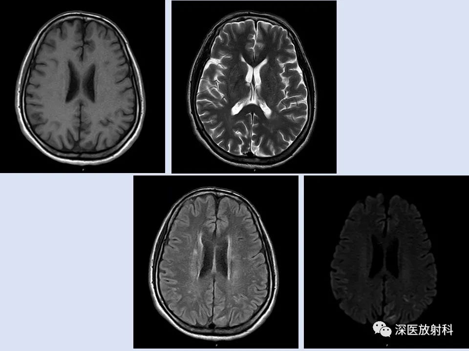
克雅氏病影像表现_医学界-助力医生临床决策和职业成长
图片尺寸960x720
克雅氏病.ppt
图片尺寸1152x864
克雅氏病
图片尺寸497x288
克雅氏病
图片尺寸500x308
散发型克雅氏病1例
图片尺寸640x469
它可以让你的脑子变成海绵克雅氏病
图片尺寸640x341
可疑散发性克雅氏病一例
图片尺寸502x464
克雅氏病
图片尺寸1024x768
克雅氏病
图片尺寸1024x768
克雅氏病
图片尺寸500x208
人的库鲁病人的克雅氏综合症致死性家族失眠征疯牛病羊瘙痒病几种朊
图片尺寸1000x721
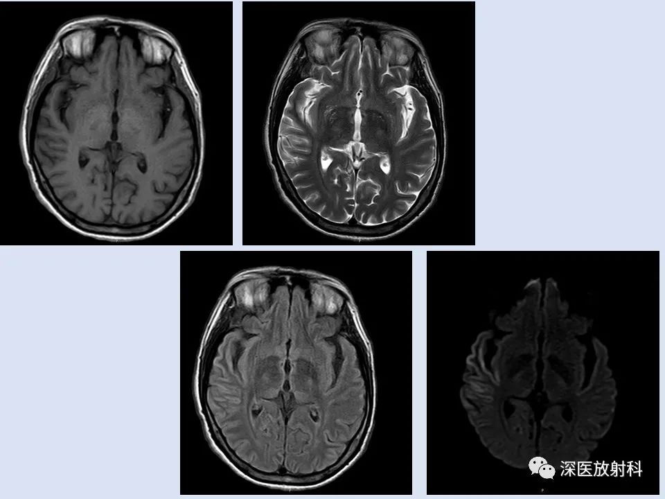
克雅氏病影像表现_医学界-助力医生临床决策和职业成长
图片尺寸960x720
疯牛病克雅氏病很可怕
图片尺寸787x438
比埃博拉病毒还恐怖的东西……来了,大家久等了
图片尺寸640x416
借助mri与petct早期诊断克雅氏病不犯难
图片尺寸661x469
贝塞斯达,用在了黑猩猩身上,实验结果显示它们也很快便染上了克雅氏病
图片尺寸839x430
克雅氏病影像表现_医学界-助力医生临床决策和职业成长
图片尺寸960x720
克雅氏病
图片尺寸1024x768
克雅病
图片尺寸1080x543
克雅氏病
图片尺寸1024x768