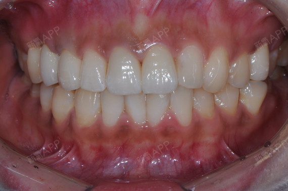
全瓷牙案例

今天与大家分享一个全瓷牙的案例,如果您口内有镶过牙_圈子-新氧美容
图片尺寸570x379
全瓷牙
图片尺寸5184x3456
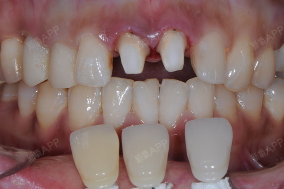
金属烤瓷全口修复案例 - 案例精华 - 牙匠之家
图片尺寸2048x1361
金属烤瓷全口修复案例 - 案例精华 - 牙匠之家
图片尺寸2048x1361
全瓷牙矫正对比案例
图片尺寸358x140
每日案例全瓷牙修复案例
图片尺寸2592x1936
金属烤瓷全口修复案例 - 案例精华 - 牙匠之家
图片尺寸2048x1414
全瓷牙案例拯救失败烤瓷牙
图片尺寸586x312
全瓷牙实例图
图片尺寸500x217
每日案例全瓷牙修复案例
图片尺寸2592x1936
前牙美学全瓷冠修复经典案例_口腔修复_口腔修复治疗介绍 - 好大夫
图片尺寸729x493
数字化全瓷牙一次修复定制美丽笑容
图片尺寸1080x432
全瓷牙面贴案例分享_牙齿美白_日常护理
图片尺寸1024x512
每日案例全瓷牙修复案例
图片尺寸2592x1936
今天与大家分享一个全瓷牙的案例,如果您口内有镶过牙_圈子-新氧美容
图片尺寸570x379
前牙全瓷二次修复病例-铁岭宋帅
图片尺寸580x389
全瓷牙
图片尺寸400x300
高科技电脑数位印模,当天完成一体成形全瓷牙.
图片尺寸630x839
全瓷牙
图片尺寸1080x810
单冠全瓷牙修复
图片尺寸800x501