六胺银染色

六胺银染色阳性(图片中的小空泡就是隐球菌的荚膜)
图片尺寸1600x1195
六胺银染色
图片尺寸1280x960
六胺银染色哦
图片尺寸960x1279
六胺银染见隐球菌
图片尺寸3024x4032
医学检验六胺银染色助力感染性疾病诊断
图片尺寸640x480
六胺银原液(试剂c1)_组织染色液_染色液_染色试剂_索莱宝-专业生化
图片尺寸850x850
图7为六胺银染色:(m1e1s0to)
图片尺寸520x348
图6 六胺银染色
图片尺寸470x350
医学检验六胺银染色助力感染性疾病诊断
图片尺寸640x480
图8 六胺银染色
图片尺寸460x349![以区别及诊断真菌感染性疾病,但是六胺银染色相对于pas染色更敏感[9]](https://i.ecywang.com/upload/1/img0.baidu.com/it/u=1604211003,1259673255&fm=253&fmt=auto&app=138&f=JPEG?w=888&h=500)
以区别及诊断真菌感染性疾病,但是六胺银染色相对于pas染色更敏感[9]
图片尺寸1080x608
毛霉菌菌丝 六胺银染色
图片尺寸640x426
请问一下各位大佬 我在银染过程中,通常情况是下图这种,条带黑白分明
图片尺寸897x432
锁骨上淋巴结标本行六胺银染色,可见染成黑色的典型组织胞浆菌病原体
图片尺寸1437x725
图1 ×40 gms(六胺银染色)隐球菌在真菌感染性疾病中,常使用六胺银法
图片尺寸1080x608
临床病理再出新招市医院肾病科与病理科成功开展肾脏病理特殊染色新
图片尺寸752x414
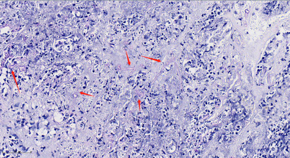
特染结果:pas染色( ),六胺银( )● 肾穿刺活检病原:可见较多无隔真
图片尺寸1000x544
新项目新技术病理特殊染色系列
图片尺寸750x562
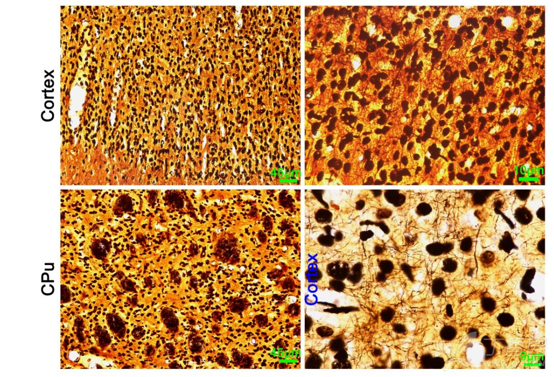
脑片冰切银染
图片尺寸1085x738
荧光素染色
图片尺寸1080x810