内听道平扫

磁共振(mri)内耳扫描技术
图片尺寸640x777
内听道平扫
图片尺寸203x216
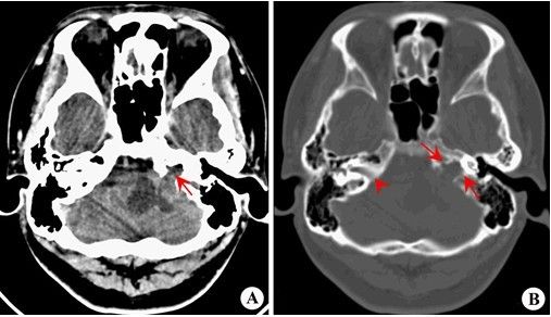
ct,注意内听道扩大.
图片尺寸910x894
【影像技术】磁共振(mri)三叉神经,面神经,听神经(内听道)扫描技术
图片尺寸792x479
术前磁共振平扫
图片尺寸586x595
磁共振(mri)内耳扫描技术
图片尺寸640x777
【共享】常见内耳畸形的ct表现
图片尺寸1000x783
内听道ct.jpg
图片尺寸1600x441
图3. 内听道ct.
图片尺寸640x356
自延髓(脊髓和大脑连接的一段)延伸至内听道
图片尺寸600x763
右侧内听道显示正常(↑)mri平扫于左侧桥小脑
图片尺寸507x292
mri内听道神经及周围血管成像扫描规范mrtaiac
图片尺寸831x560
骨窗位显示扩大的内听道mri:角增强mri为诊断昕神经瘤的首选方法.
图片尺寸572x610
内耳和内耳道的正常mri
图片尺寸1000x700
了解后半规管与内听道起始部之间的距离.
图片尺寸537x600
mri平扫t2.jpg
图片尺寸1728x1536
t1wi(a)呈不均匀低信号,t2wi(b)呈不均匀高信号,以左侧内听道为中心
图片尺寸377x440
颅脑mra平扫 mri增强检查,请讨论
图片尺寸3072x4096
成像(fiesta)磁共振成像(mri)显示脑(a)和内听道(b)临床检查未见异常
图片尺寸597x486
内听道扫描方案|磁共振规范化扫描方案|飞利浦
图片尺寸800x600