冠状动脉 旋磨

老人冠状动脉钙化硬如"磐石" 医生用金刚钻来旋磨打通血管!
图片尺寸800x678
心内科二成功开展冠脉内旋磨术为冠脉严重钙化患者带来福音新技术
图片尺寸392x363
心血管内科一病区成功开展冠状动脉内旋磨术
图片尺寸961x682
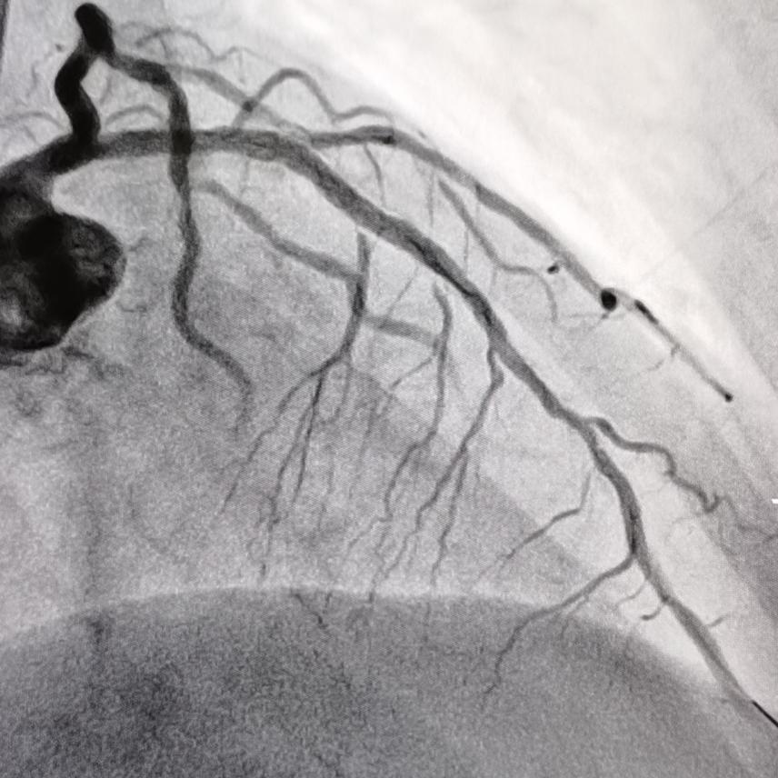
多图论述冠状动脉内旋磨术
图片尺寸634x631
冠脉严重钙化只能"开大刀"?省中医用旋磨术开通血管
图片尺寸660x388
冠状动脉阻塞 高速钻头旋磨术打通
图片尺寸1600x1067
【助力】血管内超声 冠状动脉内膜旋磨术,为患者提供精准治疗
图片尺寸849x849
冠状动脉斑块旋磨术/王伟民
图片尺寸800x800
心内科开展冠脉旋磨术,填补院内空白
图片尺寸2648x2000
"冠状动脉旋磨术攻克钙化病变显神威"---楚雄州医院心内科开展"冠状
图片尺寸1280x960
冠状动脉旋磨系统
图片尺寸613x549
酒钢医院心血管科成功开展河西首例高龄患者冠状动脉内旋磨术
图片尺寸641x428
冠状动脉旋磨术和支架 冠脉旋磨术医保
图片尺寸1080x810
冠状动脉旋磨术是采用呈橄榄型的带有钻石颗粒旋磨头,根据差异切割及
图片尺寸600x334
冠脉旋磨术用物理的方法将动脉硬化斑块祛除,虽然技术难度高,但对于
图片尺寸263x452
旋磨术主要适用于解剖学上高危的病变,如钙化的病灶,开口处病灶,球囊
图片尺寸750x556
在心脏血管里"开疆辟土"|我院冠状动脉旋磨术让患者重获"心"生_技术
图片尺寸1080x1080
如何攻克钙化病变03血管内超声所见的钙化冠状动脉钙化病变血管内膜
图片尺寸224x196
【助力】血管内超声 冠状动脉内膜旋磨术,为患者提供精准治疗
图片尺寸856x856
陕西:西安医学院附属宝鸡医院成功实施冠状动脉内旋磨术
图片尺寸570x800