利什曼原虫

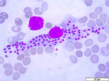
患者骨髓涂片可见大量利什曼原虫抗体
图片尺寸567x444
利什曼原虫,寄生的,原生动物,体前鞭毛,鞭毛
图片尺寸1200x800
杜氏利什曼原虫
图片尺寸600x450
杜氏利什曼原虫
图片尺寸379x284
杜氏利什曼原虫
图片尺寸367x286
杜氏利什曼原虫
图片尺寸384x244
5μm)请报告箭头所指对象的名称2019403杜氏利什曼原虫点击空白处查看
图片尺寸469x365
杜氏利什曼虫
图片尺寸1171x1100
黑热病由利什曼原虫所导致,其死亡率较高,需要立即就诊
图片尺寸743x485
利什曼原虫,扫描电镜.图源:视觉中国
图片尺寸1080x718
一例犬感染利士曼原虫病例分析
图片尺寸415x329
利什曼原虫病
图片尺寸858x479
利什曼原虫
图片尺寸891x714
利什曼原虫的前鞭毛虫
图片尺寸1200x800
血液中的利什曼原虫
图片尺寸1200x800
科学家警告说,随着地球变暖,越来越多的美国人可能受到各种利什曼原虫
图片尺寸677x475
杜氏利什曼原虫无鞭毛体
图片尺寸2592x1944
在我国,杜氏利什曼原虫引起的历史慢病又被称为黑热病,最常见的是内脏
图片尺寸640x427
杜氏利什曼原虫
图片尺寸300x200
经its2基因扩增测序后鉴定为婴儿利什曼原虫(l.infantum) 2.
图片尺寸525x308