前牙深覆合

深覆合平常看着没什么大的问题
图片尺寸720x480
深度解析97深覆合!形成因素!矫正方式
图片尺寸900x1199
深覆合vs深覆盖
图片尺寸1080x1440
远中关系前牙深覆合治疗前治疗前治疗前曲面断层片曲面断层片头颅侧
图片尺寸401x271
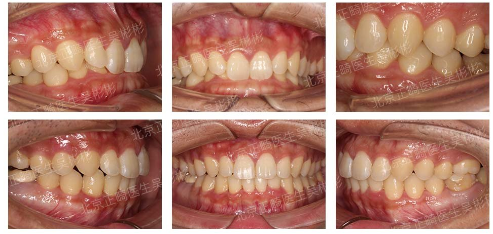
上下牙列排齐整平,前牙深覆合,深覆盖纠正,上下中线对正.
图片尺寸570x1127
什么是深覆合呢上前牙覆盖下前牙长度的三分之一以上就是深覆合一起来
图片尺寸1080x1950
每周案例隐适美矫治器矫治前牙深覆合深覆盖
图片尺寸6378x4252
深覆合是啥需不需矫正附固定树脂平导制作过程
图片尺寸1511x1237
深覆合别害怕,隐形矫正搞定它
图片尺寸1043x832
前牙闭锁性深覆合一例
图片尺寸960x720
30岁男性严重深覆合矫正
图片尺寸750x472
深覆合牙齿内倾
图片尺寸1284x1712
牙冠长度的1/3者或下前牙咬合于上前牙舌侧1/3以上,那么就是深覆合了
图片尺寸640x426
正畸科普|牙齿深覆合到底应不应该做矫正?
图片尺寸1080x1439
深覆合影响吃美食 看看小姐姐正畸后的生活
图片尺寸1284x1712
前牙深覆合前牙拥挤非拔牙矫治案例
图片尺寸972x462
治疗过程 前牙深覆合,深覆盖问题得到解决,牙列也不再拥挤,咬合稳定
图片尺寸919x988
牙齿矫正深覆盖和深覆合的区别在哪?
图片尺寸500x298
最会"潜藏"的错合——闭锁性深覆合
图片尺寸892x606
什么是深覆合呢上前牙覆盖下前牙长度的三分之一以上就是深覆合一起来
图片尺寸1080x2336