前牙预成冠

带孩子补牙被忽悠做牙冠是咋回事儿童需要做预成冠吗
图片尺寸480x319
预成冠
图片尺寸500x300
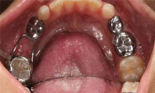
乳磨牙金属预成冠一例
图片尺寸548x708
乳牙预成冠
图片尺寸381x529
乳牙预成冠儿童乳牙的保护伞
图片尺寸1080x710
前牙金属烤瓷全冠的牙体预备
图片尺寸1280x833
什么是预成冠
图片尺寸1080x3240
分享一个6岁宝宝牙金属预成冠修复案例
图片尺寸800x800
《12月26-27》儿童口腔临床(预成冠,透明冠)操作班-广州
图片尺寸1024x428
牙齿矫正肖家良 的想法: #金属预成冠# 给小朋友装上小金刚
图片尺寸1061x1502
乳牙预成冠
图片尺寸1080x608
透明冠预成冠
图片尺寸2160x2160
儿童补牙戴金属牙冠好不好预成冠容易掉吗优缺点解析
图片尺寸500x309
乳牙预成冠有必要做吗在深圳做一颗多少钱
图片尺寸800x600
乳磨牙牙金属预成冠_龋齿_治疗介绍_治疗方式 - 好大夫在线
图片尺寸1620x2430
今日前牙预成冠分享_育儿经验_母婴_母婴_育儿经验
图片尺寸783x507
前牙金属烤瓷全冠的牙体预备
图片尺寸1280x833
透明冠预成冠
图片尺寸2160x2160
上个世纪的前牙金属冠修复,大家都觉得难看吧,所以如今透明预成冠是
图片尺寸1383x960
五岁半宝宝补牙史戴上了金属预成冠
图片尺寸800x800