副舟骨x光

儿童足部副舟骨的治疗_先天性足畸形_先天性足畸形治疗方式 - 好大夫
图片尺寸1080x1022
带您了解足"副舟骨"综合征
图片尺寸883x1423
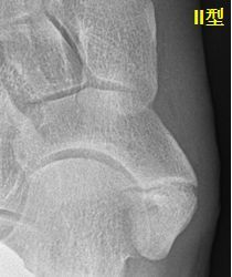
当发生足副舟骨疼痛时,首先要拍x光确诊,并确定分型.
图片尺寸638x1024
第一次知道"副舟骨"这个东西
图片尺寸883x1178
足副舟骨疼痛综合症 - 好大夫在线
图片尺寸1792x2208
你的足痛找到原因了吗副舟骨
图片尺寸474x399
足副舟骨分型及相关病变的影像表现
图片尺寸960x540
一例痛性副舟骨手术治疗
图片尺寸3696x2668
足副舟骨分型及相关病变的影像表现
图片尺寸960x540
求助,副舟骨
图片尺寸3264x2176
青少年足痛当心副舟骨疼痛
图片尺寸526x533
副足舟骨别忽略分型要牢牢记住
图片尺寸210x250
副舟骨痛综合征一例
图片尺寸800x600
副舟骨.jpg
图片尺寸450x411
足副舟骨分型及相关病变的影像表现
图片尺寸960x480
足副舟骨痛综合征
图片尺寸466x720
足副舟骨疼痛综合症 - 好大夫在线
图片尺寸1792x2176
一例 小儿副舟骨,大家看看,如何诊治?
图片尺寸1199x997
典型的足副舟骨
图片尺寸640x480
足副舟骨疼痛综合症 (原创)
图片尺寸1664x2112