十字伤

图片信息
图片尺寸794x471
欧文十字韧带损伤
图片尺寸522x275
十字伤
图片尺寸400x225
论坛
图片尺寸640x360
halloween decor 10 different pattern halloween zombi
图片尺寸1000x1000
黄小凡的相册-留些东西
图片尺寸491x600
前十字韧带康复历程
图片尺寸720x540
看了"烈火英雄"可以给最可爱的人讲一些自我保护的知识
图片尺寸500x502
中山男子20年没有合穿的鞋子,原因很罕见
图片尺寸1035x860![浪客剑心追忆篇[ova]04"十字伤"粤语](https://i.ecywang.com/upload/1/img0.baidu.com/it/u=1102290872,2404664038&fm=253&fmt=auto&app=120&f=JPEG?w=800&h=500)
浪客剑心追忆篇[ova]04"十字伤"粤语
图片尺寸1440x900
我这个是3个月取钉 医生说一个半月拆石膏 我拆了
图片尺寸1024x768
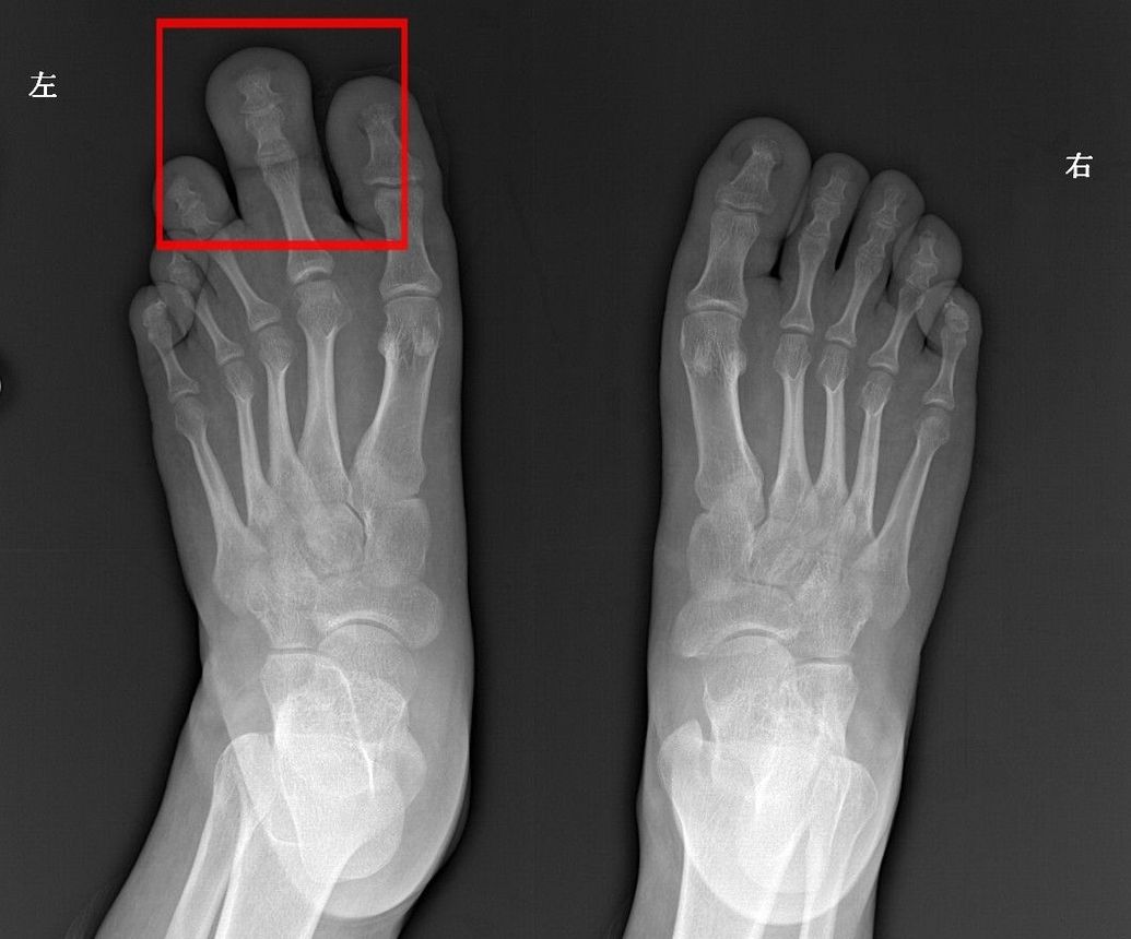
踇外翻——对女性造成困扰最大的足部畸形_刘津浩医生
图片尺寸960x821
图片信息
图片尺寸794x565
这种没有疤痕的痛,99%的人都害怕再次去经历
图片尺寸500x348
前交叉十字韧带,内侧副韧带全都断了,整个大二cuba算报销了
图片尺寸800x1067
广濑萱萱
图片尺寸1919x1067
濮阳三院骨科——给我一双美丽的脚
图片尺寸1200x1604![【读片】左踝.x [病例帖]](https://i.ecywang.com/upload/1/img2.baidu.com/it/u=3103087503,269019160&fm=253&fmt=auto&app=138&f=JPEG?w=604&h=500)
【读片】左踝.x [病例帖]
图片尺寸640x530
汤神左膝十字韧带术后留下长达10厘米伤疤 从膝盖处延伸到小腿
图片尺寸640x426
白梅香,十字伤#浪客剑心真人版 #浪客剑心 - 抖音
图片尺寸1456x977