单侧后牙反颌

(图为单侧后牙反合一期矫治前后对比)
图片尺寸550x156
后牙反合词条图册_百度百科
图片尺寸280x187![【病例讨论】20岁反颌病例 [病例帖]](https://i.ecywang.com/upload/1/img2.baidu.com/it/u=50662540,2514495489&fm=253&fmt=auto&app=138&f=JPEG?w=500&h=371)
【病例讨论】20岁反颌病例 [病例帖]
图片尺寸500x371
矫正过牙齿,后来反弹了,咬合歪向一边,不知道是不是反弹引起的.
图片尺寸576x1024
乳牙期反颌需早期矫治 - 好大夫在线
图片尺寸4752x3168
后牙反颌这种错颌畸形会增加患颞下颌关节症的风险
图片尺寸326x220
关于幼儿12岁乳牙反颌病例的早期治疗
图片尺寸400x268
替牙颌期反颌
图片尺寸689x396
本文由杨辉俊原创
图片尺寸332x443
儿童反颌矫正半年后又地包天是复发还是当初没矫正过来
图片尺寸2048x1536
偏颌说2
图片尺寸1440x1080
bird.jpg
图片尺寸800x533
首个人体试验证实新型生物溶液对牙龈炎症安全有效最近的研究
图片尺寸500x333
广州牙齿矫正分享|牙齿拥挤反颌
图片尺寸1080x1439
孩子牙齿反颌,什么时间矫正最好
图片尺寸399x210
牙齿反颌怎么办
图片尺寸490x213
乳牙地包天换牙会好吗小孩乳牙地包天什么时候矫正最好
图片尺寸490x367
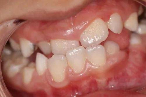
局部反颌
图片尺寸640x480
37岁,牙列不齐,个别牙反颌,2年时间隐形变美
图片尺寸864x486
单个牙反的,叫做个别牙反颌,一般治疗起来难度不大,对面型也没啥影响.
图片尺寸1106x724