卵巢癌病理

科室来了位13岁的卵巢癌患者
图片尺寸692x372
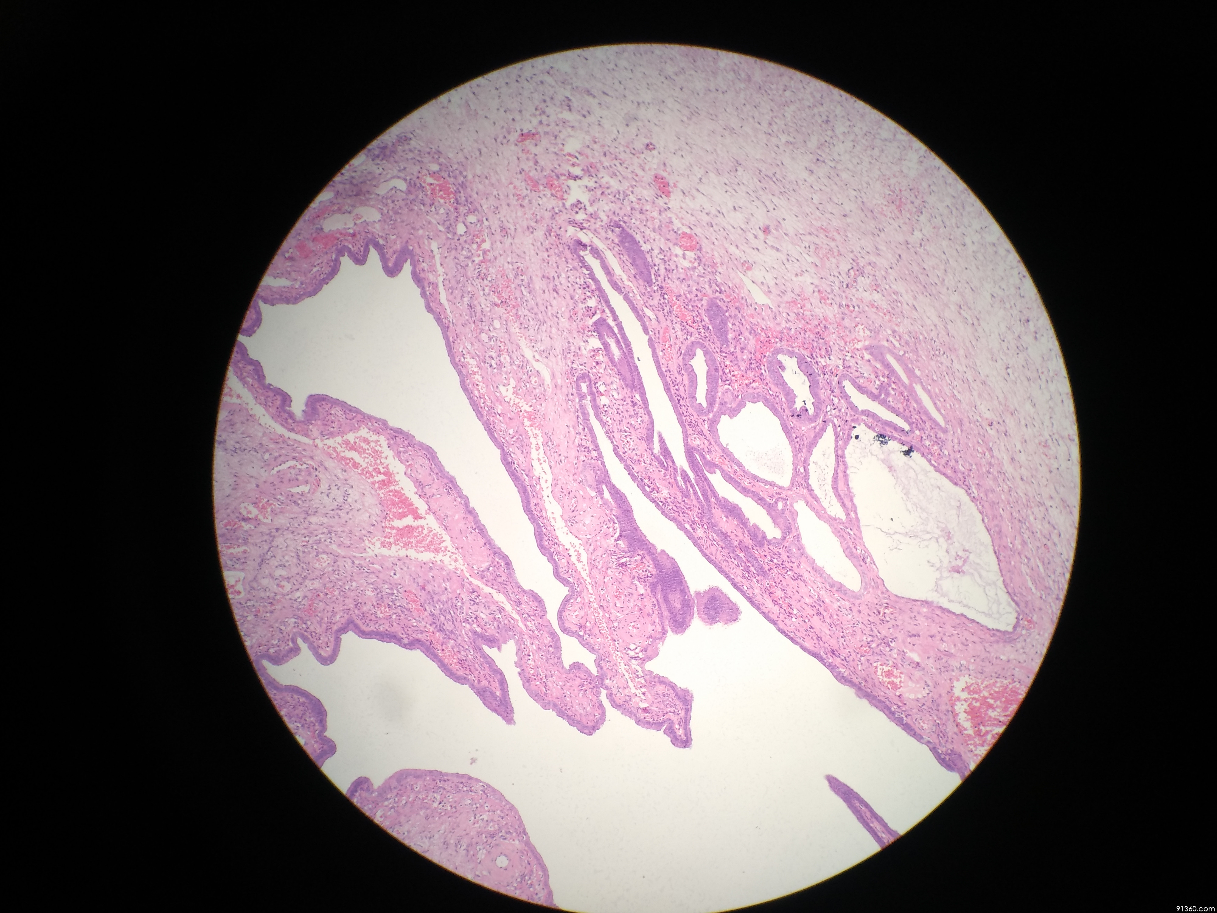
右卵巢肿瘤待续中美加卵巢肿瘤病理交流群病例110
图片尺寸3968x2976
卵巢癌第二次复发再次手术,距首次手术近10年
图片尺寸3183x2002
今天手术,老太太的病理是卵巢透明细胞癌 - 好大夫在线
图片尺寸2336x4160
右附件肿瘤【中美加卵巢肿瘤病理交流群289】
图片尺寸4032x3024
左卵巢肿瘤 - 乳腺和女性生殖系统 - 91360病理论坛
图片尺寸3264x2448
临汾市中心医院妇产科-卵巢癌
图片尺寸1664x1988
左卵巢 癌肉瘤12.22【91360妇科病理沙龙病例123】
图片尺寸4160x3120
右卵巢肿瘤待续中美加卵巢肿瘤病理交流群病例110
图片尺寸3968x2976
左卵巢 癌肉瘤12.22【91360妇科病理沙龙病例123】
图片尺寸4160x3120
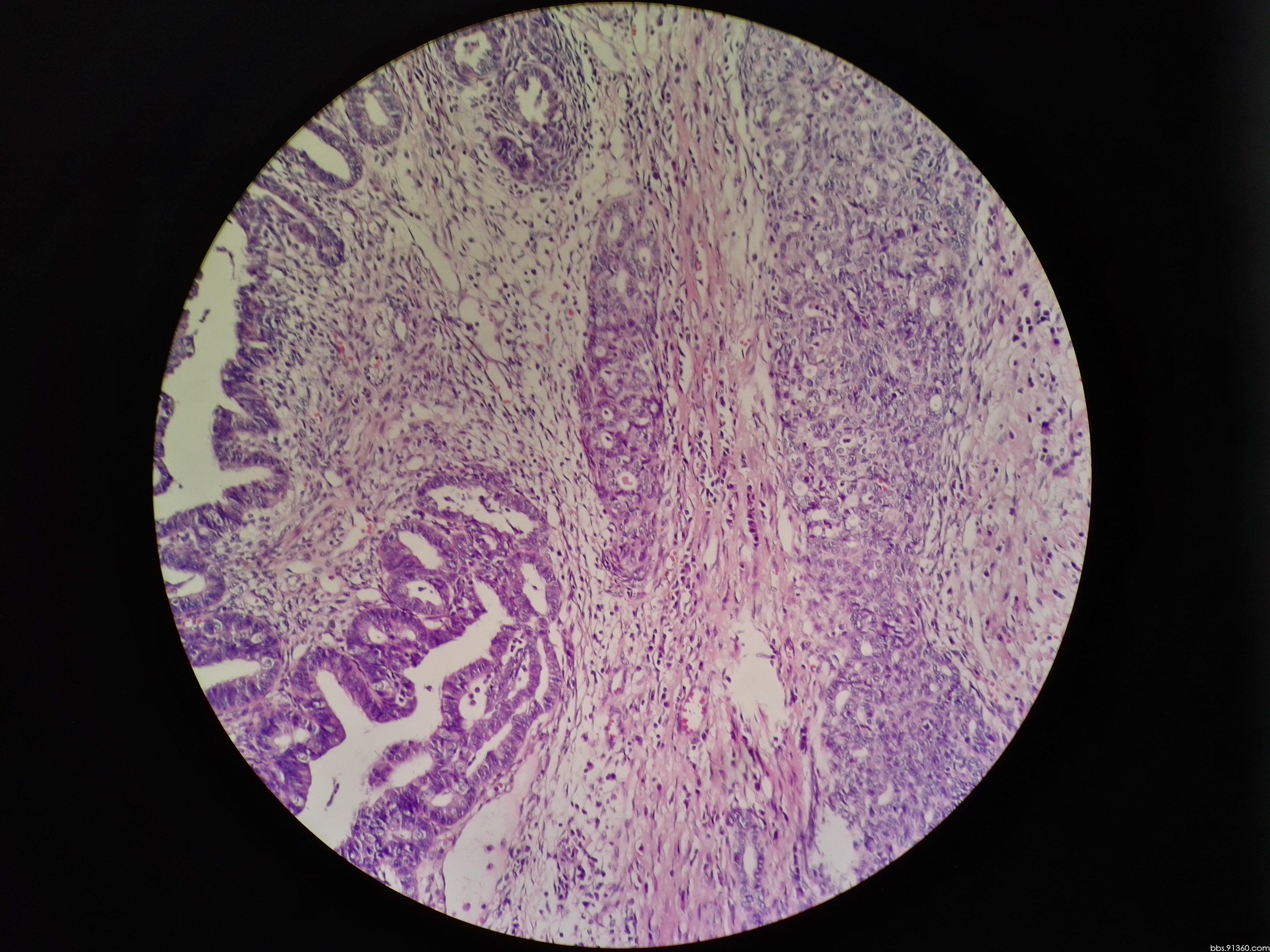
卵巢子宫内膜样癌讨论病例中美加子宫内膜病理交流群788
图片尺寸2976x3968
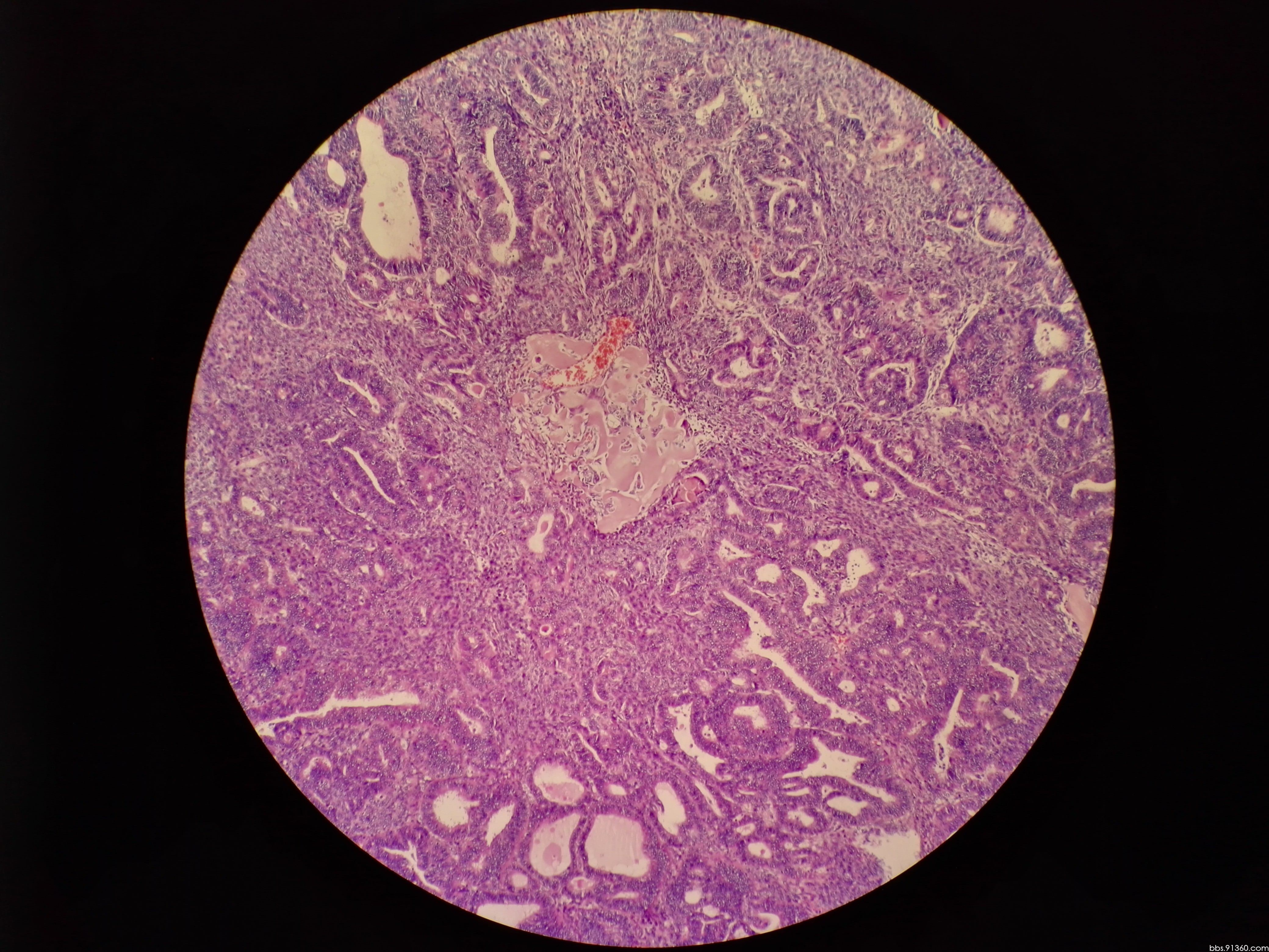
右卵巢小细胞癌2016.9.18【91360妇科病理沙龙病例108】
图片尺寸1280x960
左卵巢 癌肉瘤12.22【91360妇科病理沙龙病例123】
图片尺寸4160x3120
卵巢,卵泡膜纤维瘤,2016/12/14【河南病理交流群病例4】
图片尺寸1440x1920
微信病例67|卵巢巨大癌肉瘤冰冻及常规病理
图片尺寸640x480
一例卵巢癌三期c治疗方案的讨论
图片尺寸723x960
卵巢高级别浆液性癌中美加卵巢肿瘤病理交流群512
图片尺寸3648x2736
兽医病理学简单介绍卵巢肿瘤
图片尺寸1461x577
卵巢granulosa cell 颗粒细胞团【中美加卵巢肿瘤病理交流群287】
图片尺寸4032x3024
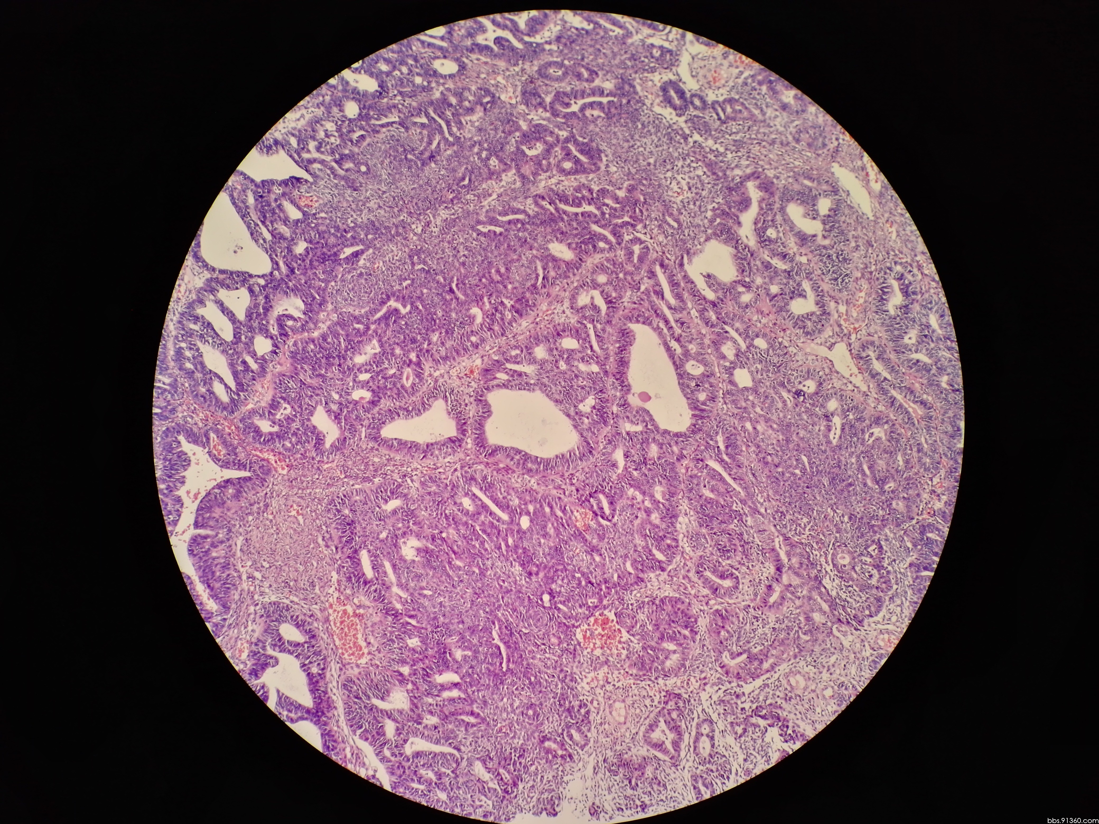
卵巢:子宫内膜样癌伴鳞状分化【中美加卵巢肿瘤病理交流群480】
图片尺寸4000x3000