卵巢癌ct

卵巢肿瘤的影像学表现及鉴别_第二医院
图片尺寸960x720
5大卵巢恶性肿瘤,如何在ct上寻找蛛丝马迹?#医学影像经典ppt_平台
图片尺寸560x420
卵巢肿瘤的影像学表现及鉴别-健康频道-手机搜狐
图片尺寸640x480
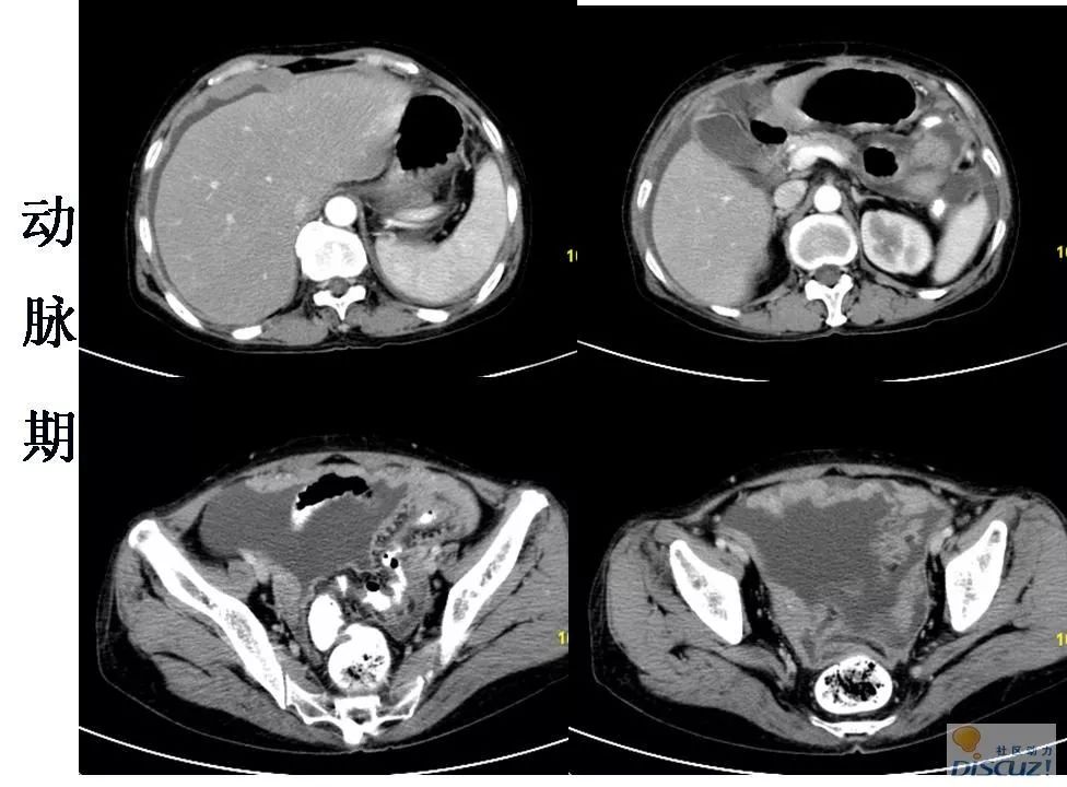
卵巢肿瘤的影像学表现及鉴别_第二医院
图片尺寸960x720
卵巢癌:一个癌症康复患者的心里话_秦旭东
图片尺寸640x285
卵巢恶性肿瘤的ct诊断- 医学百科网
图片尺寸560x420
5大卵巢恶性肿瘤,如何在ct上寻找蛛丝马迹?#医学影像经典ppt_平台
图片尺寸560x420
卵巢癌质子治疗,卵巢癌质子治疗优势,卵巢癌质子治疗价格费用多少钱_
图片尺寸640x1242
5大卵巢恶性肿瘤,如何在ct上寻找蛛丝马迹?#医学影像经典ppt_平台
图片尺寸560x420
卵巢癌,等你分析丨读片专栏1171期_检查
图片尺寸976x720
中西医治疗老年晚期卵巢癌至肿瘤影像消失并成功手术1例分享 - 好大夫
图片尺寸2203x1480
5大卵巢恶性肿瘤,如何在ct上寻找蛛丝马迹?#医学影像经典ppt_平台
图片尺寸560x420
卵巢癌,等你分析丨读片专栏1171期_检查
图片尺寸976x720
【答案解析】_患者女性,40岁,卵巢癌术后1年,常规复查.行腹部ct检查,
图片尺寸1174x298
中西医治疗老年晚期卵巢癌至肿瘤影像消失并成功手术1例分享 - 好大夫
图片尺寸2212x1161
影像检查在卵巢癌分期中的作用_腾讯新闻
图片尺寸1000x793
病例分享:晚期卵巢癌介入治疗
图片尺寸750x562
中西医治疗老年晚期卵巢癌至肿瘤影像消失并成功手术1例分享 - 好大夫
图片尺寸2304x1728
韩丽萍教授团队接连成功完成两例巨大卵巢肿瘤剥除术!单孔"无痕"新时
图片尺寸729x500
【熊猫优选】《卵巢肿瘤影像学 ovarian neoplasm imaging》丨交界性
图片尺寸751x754