双侧额叶脑

额,顶叶下部横断面
图片尺寸1080x810
具有将大脑各机能分区的活动进 第1页
图片尺寸650x564
第9日行头颅mri示:双侧额叶皮层(图1),双侧丘脑,下丘脑,第三脑室,中脑
图片尺寸640x695
有利于静脉回流枕顶叶脑膜瘤—俯卧位
图片尺寸702x583
头颅 ct 示双侧额叶,顶叶及枕叶低密度灶,内有少许高密度灶,脑组织
图片尺寸639x283
据专家说:男女的大脑确实拥有与生俱来的差异,近代医学通过核磁共振
图片尺寸400x458
2017年7月9日mri示双侧额顶叶中线旁脑实质肿胀(箭头所示) 图
图片尺寸700x692
颅内压监测及规范化治疗成功救治1例双侧额叶脑挫裂伤患者 - 好大夫
图片尺寸409x282
图 1.(a,b 和 d)脑 mri 显示双侧额叶萎缩.(c)颞叶是正常的.
图片尺寸640x844
由于它们的中枢神经障碍,前额叶及小脑的缺陷使其自我控制能力不成熟
图片尺寸1080x1440
颞叶-侧视图中的人脑
图片尺寸1100x1100
颅内压监测及规范化治疗成功救治1例双侧额叶脑挫裂伤患者 - 好大夫
图片尺寸413x291
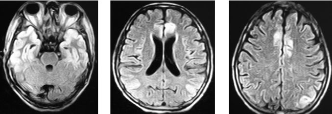
图2头颅mri:双侧额颞枕叶可见长t2(图2),flair呈高信号异常(图3).
图片尺寸678x234
颅脑创伤-神经重症病例周刊(第22期)丨双侧额叶脑侧裂伤一例
图片尺寸1280x905
老年人如何预防脑梗
图片尺寸640x301
大脑额叶功能病损表现及定位诊断
图片尺寸664x1921
神奇的大脑皮层你必须得了解一下
图片尺寸600x479
我叫额颞叶痴呆阿尔茨海默病的三弟
图片尺寸599x601
flair 示双侧额叶内侧,岛叶皮层和尾状核内信号改变(圈示).
图片尺寸412x427
颅脑创伤-神经重症病例周刊(第22期)丨双侧额叶脑侧裂伤一例
图片尺寸1280x905