叠趾大脚骨

拇外翻合并叠趾畸形,和大拇趾长有很大关系,拇外翻_手术_典型_关节炎
图片尺寸882x1192
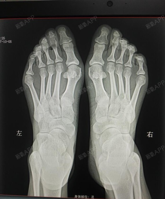
28岁重度拇外翻合并叠趾畸形 #大脚骨 #拇外翻
图片尺寸972x607
手术,但手术费用与患者的病情,选择的治疗方法,医院等级有很大关系
图片尺寸450x555
我的大脚趾不能动了,我该怎么办? (原创)
图片尺寸640x847
拇趾向外偏斜,拇趾近节趾骨与第1跖骨成角大于15°,有"大脚骨","大觚
图片尺寸640x682
别了又丑又痛又磨人的大脚骨
图片尺寸437x539
大脚拐,大脚趾内侧疼痛,要警惕:拇(趾)外翻,拇囊炎
图片尺寸640x400
严重拇指外翻形成叠趾畸形脚拇趾外翻可分为轻度,中度及重度外翻畸形.
图片尺寸581x874
拇外翻叠趾是一种什么体验? - 知乎
图片尺寸1280x1706
趾骨骨折克氏针内固定手术
图片尺寸3456x4608
"5岁的孩子,两个脚趾重叠,会自己长好吗?
图片尺寸1026x1280
x光片更直观了解大脚骨 如果单纯去掉凸起能否有效矫正拇外翻呢?
图片尺寸2278x1280
大脚骨是什么?拇趾外翻怎么办
图片尺寸640x292
(附教学视频)_脚趾头_大拇趾_脚掌
图片尺寸1080x720
大脚骨畸形
图片尺寸500x340
踇外翻叠趾畸形 术前术后 对照图 - 好大夫在线
图片尺寸3072x1728
不同疼痛和关节部位的大脚趾脚骨 x 线片的收集-顶部和侧面-保健-人体
图片尺寸1024x292
太吓人,这里就不发了因为她前些时间找我做过大脚骨手术,透过老人家
图片尺寸3072x2304
甚至与第二趾交叉,重叠,这在医学上称为"踇外翻",也就是俗称的"大脚骨
图片尺寸650x488
我脚的问题有点多,不仅有大脚骨,还有脚趾畸形,小脚_圈子-新氧美容
图片尺寸570x687