右肺斜裂

左肺仅有斜裂, 尸体解剖显示水平裂发
图片尺寸1080x810
斜裂!上下肺的分界.
图片尺寸610x344
水平裂-胸膜分布-胸部ct断层影像-肺 窗(六) 解剖图片
图片尺寸1080x810
胸膜 右侧:水平裂 斜裂 左侧:斜裂 显影条件
图片尺寸1080x810
a b a常规层厚显示双侧斜裂为无肺纹理透亮区 b薄层显示为双侧斜裂呈
图片尺寸1080x810
叶间胸膜:斜裂,水平裂(两层脏层胸膜组成)
图片尺寸1080x810
孤立性肺结节的处置原则.ppt
图片尺寸800x618
第一次斜裂就受累了,至少微侵润
图片尺寸1200x1475
真图实例:各肺段的立体展示:肺是人体的呼吸器官,位于胸腔,左右各一
图片尺寸600x460
右前斜位(rao)
图片尺寸1080x810
(图) 右斜裂胸膜间皮瘤
图片尺寸928x1053
极淡磨玻璃结节,轮廓较清病灶9:左下叶背段极淡的磨玻璃结节,紧贴斜裂
图片尺寸691x624
求助,右肺改变,是炎症,还是水平裂?
图片尺寸1012x668
图 8 叶间裂图 9 斜裂2.
图片尺寸784x472
实变密度的下方以横裂截然为界,侧位片以横裂和斜裂上界清楚为界(图1)
图片尺寸641x379
肺的分段 - 美篇
图片尺寸960x720
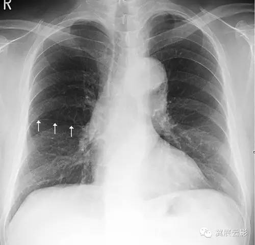
正位胸片常可以看到细线状的右肺水平裂,位于右肺野中部,自肺野边缘向
图片尺寸500x481
请教各位老师,这是不张的肺叶还是增厚的斜裂
图片尺寸2518x2626
病例4:男,72岁,咳嗽,咯血3周.
图片尺寸602x734
ct肺分叶分段
图片尺寸418x1897