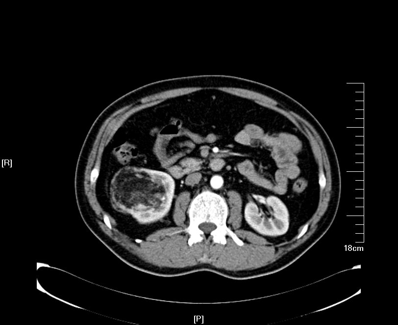
右肾错构瘤

右肾错构瘤
图片尺寸680x907
右肾占位:右肾错构瘤?-医联
图片尺寸680x907
右肾占位:右肾错构瘤?-医联
图片尺寸680x907
巨大的肾错构瘤哪些可以微创手术保留肾脏
图片尺寸3264x1840
右肾错构瘤1例
图片尺寸680x510
一例右肾较大错构瘤,介入栓塞治疗,安全有效,微创,而且能完全保留病变
图片尺寸2000x2667
一例右肾较大错构瘤,介入栓塞治疗,安全有效,微创,而且能完全保留病变
图片尺寸2000x2667
巨大错构瘤裹住了整个右肾专家巧妙去瘤保肾
图片尺寸600x800
巨大右肾占位肾错构瘤
图片尺寸680x510
肾脏错构瘤raml1例
图片尺寸502x347
右肾错构瘤1例-医联
图片尺寸680x510
右肾错构瘤_肾错构瘤长的快吗-第2张图片-体检知音
图片尺寸1840x3264
肾错构瘤2例.
图片尺寸632x357
腹腔镜下肾错构瘤切除一例报道
图片尺寸640x854
肾错构瘤的微创保肾治疗
图片尺寸812x662
右肾错构瘤1例
图片尺寸680x510
漳州:错构瘤破裂出血后 女子"丢"了一个肾
图片尺寸500x493
右肾错构瘤
图片尺寸680x510
错构瘤ct平扫.jpg
图片尺寸1280x960
巨大右肾占位肾错构瘤
图片尺寸680x510