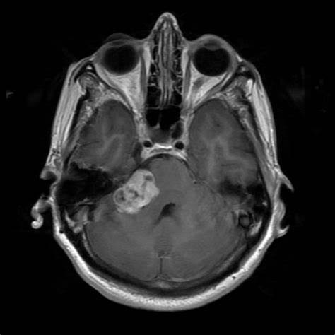
听神经鞘瘤

颅神经)的肿瘤,由于起源于神经的鞘膜,故确切的称谓应该是听神经鞘瘤
图片尺寸639x362
华润武钢总医院仁心仁术丨让微笑绽放在听神经瘤患者的脸上
图片尺寸487x494
听神经鞘瘤
图片尺寸720x540
内镜下听神经鞘瘤切除术
图片尺寸2667x2000
听神经瘤_听神经瘤 - 好大夫在线
图片尺寸413x367
为65岁患者手术切除巨大听神经瘤
图片尺寸700x432
什么是听神经瘤? - 好大夫在线
图片尺寸640x658
听神经鞘瘤
图片尺寸720x540
听神经瘤的发展过程分期
图片尺寸3699x2093
内镜下听神经瘤切除术
图片尺寸3567x1934
听神经鞘瘤
图片尺寸1082x1500
听神经瘤最常见症状有哪些
图片尺寸4032x3024
听神经纤维瘤病(nf2) 孙皓洁 任冬冬 袁雅生 赵卫东 _听神经瘤_发病
图片尺寸859x440
前庭神经鞘瘤听神经瘤
图片尺寸1280x1006
青年女性,左侧巨大听神经鞘瘤,辗转多院就诊!
图片尺寸2000x2667
听神经鞘瘤
图片尺寸720x540
宣武有术半坐位内镜辅助显微镜巨大听神经瘤切除术
图片尺寸865x637
听神经鞘瘤
图片尺寸300x250
听神经瘤的主要临床表现:5大阶段症状详解
图片尺寸474x474
专家手术治愈"创业达人"听神经鞘瘤
图片尺寸600x900