吸入性肺炎

肺部群潘老师分析吸入性肺炎
图片尺寸1438x1078
吸入性肺炎如何诊断,抗菌治疗?
图片尺寸683x508
吸入性肺炎
图片尺寸661x471
吸入性肺炎 (co中毒后误吸致右侧肺炎)
图片尺寸960x875
吞咽力衰退可能使异物进入气管,造成吸入性肺炎
图片尺寸486x444
什么是吸入性肺炎?什么样的人群容易患这种肺炎
图片尺寸800x855
吸入性肺炎 (co中毒后误吸致右侧肺炎)
图片尺寸960x894
醉酒伤肺?专家提醒,过量饮酒当心吸入性肺炎
图片尺寸497x497
吸入性肺炎是指误吸导致的肺内感染,有口腔分泌物或食物的误吸
图片尺寸640x426
莫大意吸入性肺炎后果很可怕
图片尺寸765x512
什么是吸入性肺炎?什么样的人群容易患这种肺炎
图片尺寸948x658
吸入性肺炎课件.ppt
图片尺寸1152x864
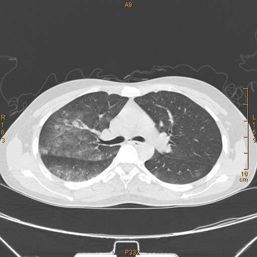
病例68——肺部典型病例(吸入性肺炎)
图片尺寸512x512
吸入性肺炎病例收集
图片尺寸881x358
老年吸入性肺炎
图片尺寸640x525
吸入性肺炎 (co中毒后误吸致右侧肺炎)
图片尺寸960x941
豪爽喝酒也能伤到肺吸入性肺炎如何预防
图片尺寸937x1000
科普沉默杀手吸入性肺炎我们要怎么对付它
图片尺寸660x332
转院案例| 详解吸入性肺炎的表现,治疗与预防!_手机搜狐网
图片尺寸500x318
吸入性肺炎特制医疗
图片尺寸920x690