吸入性肺炎CT

【中日领航】不明原因发热的呼吸系统感染病例——来自肺炎精粹的分享
图片尺寸1080x762
肺部群潘老师分析吸入性肺炎
图片尺寸1438x1078
什么肺炎的ct影像如此与众不同
图片尺寸3024x4032
吸入性肺炎一例(游泳呛水引起)ct图片.
图片尺寸640x480
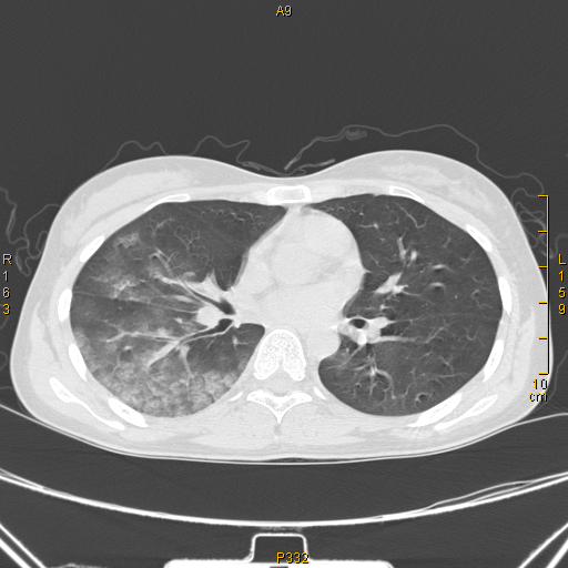
吸入性肺炎 (co中毒后误吸致右侧肺炎)
图片尺寸960x875
女性30岁,咳嗽,咳痰10天,胸部ct报告肺炎,猜病原体 - 呼吸胸外 - 医学
图片尺寸685x463
肺炎解析(1)
图片尺寸3600x1800
青年女性社区获得性肺炎求问呼吸科大佬这个影像学表现考虑什么病原体
图片尺寸4032x3024
羡慕!新生儿吸入性肺炎"取卵过程"-第1张图片-立途网
图片尺寸553x410
病例68肺部典型病例吸入性肺炎
图片尺寸512x512
一例犬吸入性肺炎病例分析
图片尺寸869x443
63岁男性咳嗽,咳痰伴体重下降,这个肺炎"不寻常"|以影识病
图片尺寸960x820
什么肺炎的ct影像如此与众不同
图片尺寸3024x4032
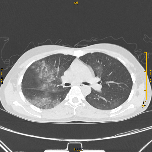
吸入性肺炎 (co中毒后误吸致右侧肺炎)
图片尺寸960x894
肺炎缉凶(已结案)
图片尺寸2736x3648
肺炎缉凶(已结案)
图片尺寸2736x3648
男性59岁,咳嗽,咳痰10余年,加重7天,胸部ct报告支扩并肺炎,考虑什么病
图片尺寸802x577
病例68——肺部典型病例(吸入性肺炎)
图片尺寸512x512
什么肺炎的ct影像如此与众不同
图片尺寸3024x4032
病历分享36岁男性肺部阴影胸部ct能诊断机化性肺炎
图片尺寸2736x3648