吸虫显微镜

吸虫镜下观察2
图片尺寸1080x1080
活体华枝睾吸虫显微镜观察,注意可能会引起心里恶心,介意不要点开!
图片尺寸1024x576
显微镜下的肝吸虫
图片尺寸569x445
又是羡慕别人显微镜的一天
图片尺寸1080x810
其它 显微镜 写美篇蠕虫:①肝片吸虫②莫氏绦虫③捻转胃虫④细颈囊
图片尺寸853x640
华支睾吸虫
图片尺寸640x854
震撼图集!一线技术员显微镜下拍摄14种寄生虫是如何入侵鱼虾的
图片尺寸640x497
人体寄生虫显微镜下图
图片尺寸1080x1439
人体寄生虫显微镜下图
图片尺寸1080x1439
华枝睾吸虫光学显微镜实拍 : )
图片尺寸1728x1080
【寄生虫学】肺吸虫显微镜下x400
图片尺寸1024x576
57 张俊琪 标本观察 显微镜观察
图片尺寸640x854
(图片说明:肺吸虫)
图片尺寸1767x1178
显微镜下普通肝吸虫(片吸虫)切片
图片尺寸1200x800
华支睾吸虫成虫
图片尺寸640x854
肝吸虫#科普 #显微镜下的世界 - 抖音
图片尺寸1674x1255
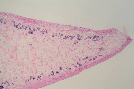
普通肝吸虫(吸虫)的显微镜下切片照片
图片尺寸450x300
肝吸虫卵钩虫
图片尺寸1080x810
华支睾吸虫
图片尺寸640x854
卫氏并殖吸虫
图片尺寸638x453