周新华医生

周新华拓展腹腔镜手术打造微创新时代的刀尖艺术
图片尺寸1080x1541
周新华拓展腹腔镜手术打造微创新时代的刀尖艺术
图片尺寸1080x810
周新华
图片尺寸533x800
周新华,首都医科大学附属北京胸科医院,《肺癌的影像诊断与鉴别》周道
图片尺寸800x529
周新华教授
图片尺寸560x373
周新华—主治医师
图片尺寸5300x6632
周新华点评il8水平高pd1疗效差
图片尺寸1080x1620
周新华-首都医科大学附属北京胸科医院
图片尺寸300x408
周新华近照. 本人提供
图片尺寸682x1023
周 华
图片尺寸669x965
上海长海医院口腔科
图片尺寸250x350
刘军副总经理东曜药业罗顺董事长/总裁健顺生物周新华首席执行官嘉和
图片尺寸640x959
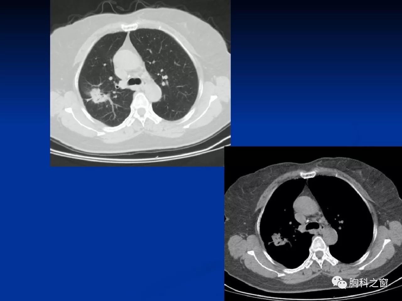
周新华:肺结核与肺癌的影像特点与鉴别_医学界-助力医生临床决策和
图片尺寸1280x960
周新华
图片尺寸396x580
周新华拓展腹腔镜手术打造微创新时代的刀尖艺术
图片尺寸1080x810
名医在线 | 周新华:急诊先锋 为生命点亮灯火_科室_工作_抢救
图片尺寸1080x720
嘉和生物药业首席执行官周新华
图片尺寸400x400
周新华
图片尺寸391x555
2020年2-8月中国好医生好护士:新疆生产建设兵团:周新华(图)
图片尺寸309x453
嘉和生物药业首席执行官周新华博士
图片尺寸480x480