喉部拍片

鱼刺卡喉咙
图片尺寸780x1040
求助】有人会看喉镜的片子么
图片尺寸540x720
这是喉咙的拍片这是什么病?黑球是什么
图片尺寸768x1024
8岁男孩因急性吞咽困难和流涎急诊会是什么
图片尺寸685x438
喝了生水蚂蝗蜗居男孩喉咙1月长至7厘米
图片尺寸497x546
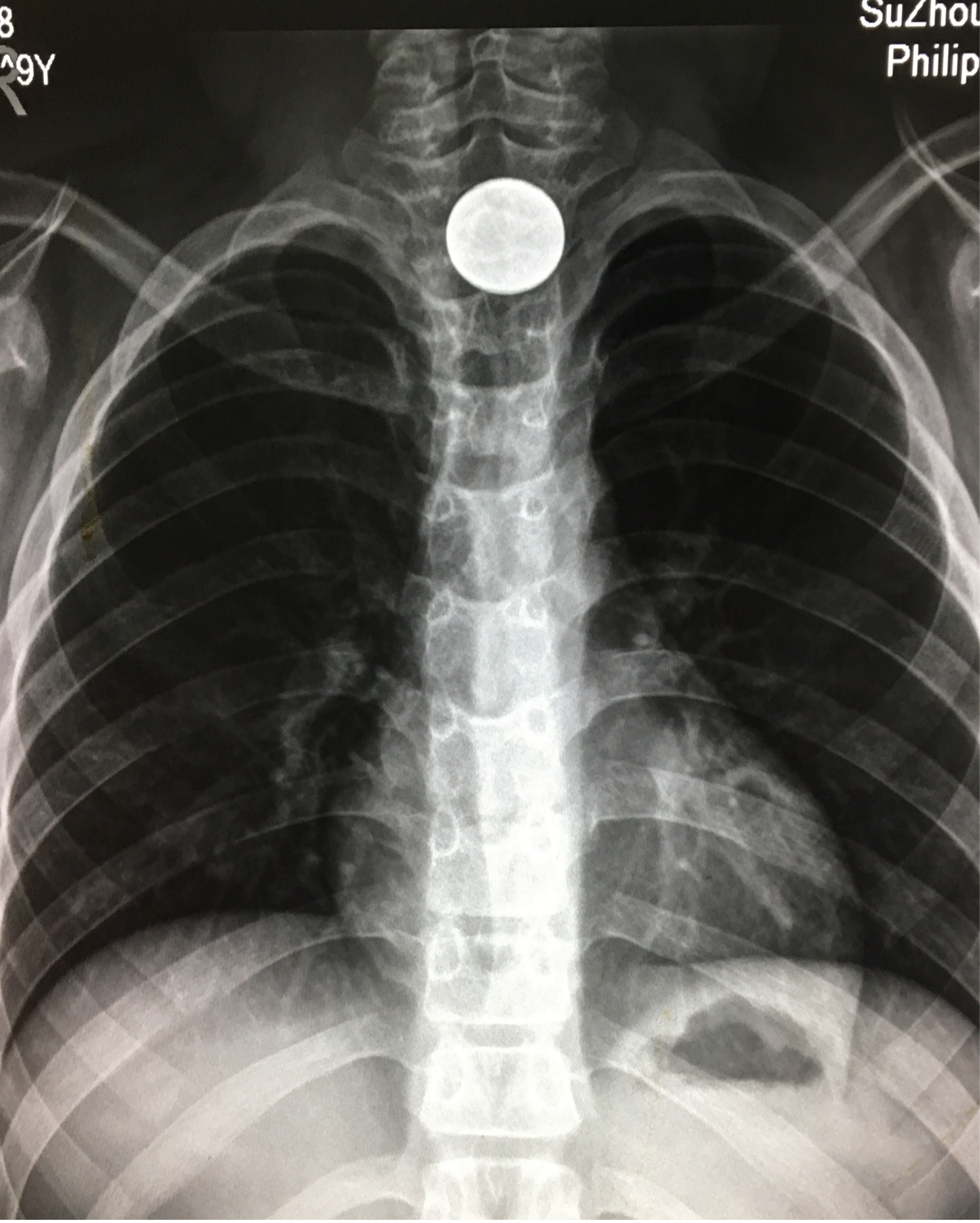
因误吞一元硬币苏州九岁女孩被卡得面红耳赤
图片尺寸2474x3087
紧急随州6岁熊孩子误吞拉链头卡在食管第二狭窄处
图片尺寸651x488
喉咙里长哪几个囊肿,感觉好不舒服头晕还想吐是怎么
图片尺寸480x640
半夜吃炸鸡卡到嗓子
图片尺寸1080x1440
宝宝六个半月,咳嗽家喉喽有痰 ,拍的片子专家可以帮忙看下嘛?
图片尺寸479x640
还有康复的可能吗?我爷爷78岁,嗓子哑已经半年多了,今天去拍片子了
图片尺寸1000x750
咽喉癌(laryngeal carcinoma)ct病例图片影像诊断分析
图片尺寸600x816
3个信号绝非感冒气管炎看医生怎么说
图片尺寸1200x800
声音嘶哑两月余,平时有干呕情况,其他无异常,偶有咳嗽,没有吞咽异
图片尺寸1872x3328
从喉咙上面一点后壁隐窝进去的异物怎么取出来
图片尺寸500x506![【共享】喉癌的ct表现 [病例帖]](https://i.ecywang.com/upload/1/img1.baidu.com/it/u=1724805150,3804070997&fm=253&fmt=auto&app=138&f=JPEG?w=500&h=750)
【共享】喉癌的ct表现 [病例帖]
图片尺寸1030x1544
患者拍片显示锅铲插入食道直抵右胸.
图片尺寸540x405
咽喉癌(laryngeal carcinoma)ct病例图片影像诊断分析
图片尺寸600x809
咽喉有异物感原来是得了癔球症!
图片尺寸1080x1438
今天要说的这个事情有点意外,而且非常微小.
图片尺寸1280x1707