嗅沟脑膜瘤

停经妇女注意 嗅觉视觉改变慎防嗅沟脑膜瘤
图片尺寸1169x1200
影响嗅觉的嗅沟脑膜瘤
图片尺寸640x448
贺晓生教授:嗅沟脑膜瘤手术切除
图片尺寸930x523
贺晓生教授:嗅沟脑膜瘤手术切除
图片尺寸930x523
嗅沟脑膜瘤
图片尺寸2048x2386
嗅沟脑膜瘤
图片尺寸500x340
嗅沟脑膜瘤手术体会
图片尺寸1200x1572
嗅沟脑膜瘤手术策略与技巧
图片尺寸984x1378
贺晓生教授:嗅沟脑膜瘤手术切除
图片尺寸930x523
附高清手术视频 张俊廷 主编 神经外科学书籍 嗅沟脑膜瘤鞍结节脑膜瘤
图片尺寸800x800
嗅沟脑膜瘤手术入路选择的重要性神经内镜手术的发展
图片尺寸1500x1102
经双侧额下入路显微手术切除巨大嗅沟脑膜瘤1例
图片尺寸600x463
嗅沟脑膜瘤切除如何保存嗅神经功能
图片尺寸426x208
一例嗅沟巨大脑膜瘤全切手术分享
图片尺寸1599x1199
嗅沟脑膜瘤
图片尺寸650x743
嗅沟巨大脑膜瘤
图片尺寸336x360
贺晓生教授:嗅沟脑膜瘤手术切除
图片尺寸930x523
内镜下嗅沟脑膜瘤手术技巧丨theneurosurgicalatlas全文翻译
图片尺寸492x547
嗅沟脑膜瘤嗅觉丧失10年,手术后嗅觉可以恢复吗?
图片尺寸764x1002
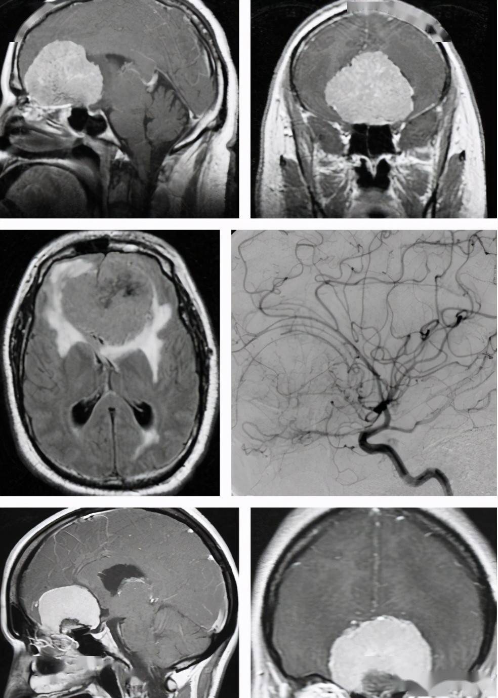
嗅沟脑膜瘤(olfactory meningioma)mri-ct病例影像诊断分析
图片尺寸639x660