嗜酸性细胞

儿童嗜酸性粒细胞显著增高,竟是一种少见病!_腾讯新闻
图片尺寸1000x1333
嗜酸性粒细胞增高你遇到这种疾病么
图片尺寸499x501
嗜酸性粒细胞.jfif
图片尺寸533x400
儿童嗜酸性粒细胞显著增高竟是一种少见病
图片尺寸1000x1333
中性粒细胞与嗜酸性粒细胞 硬膜外与硬膜下出血#医学科普 #医 - 抖音
图片尺寸1920x1280
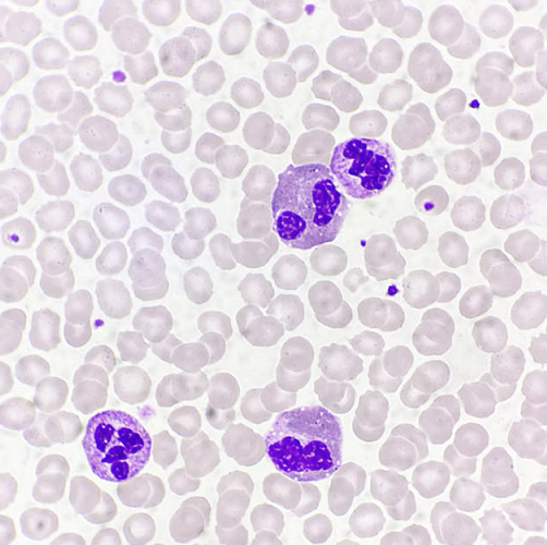
嗜酸性粒细胞增多症(外周血涂片)
图片尺寸1004x751
嗜酸性粒细胞增高你遇到这种疾病么
图片尺寸500x500
hes,嗜酸性粒细胞增多综合征,通常会出现在多种恶性肿瘤患者中
图片尺寸640x426
【病例分享】嗜酸性粒细胞胃肠炎
图片尺寸479x901
嗜酸性粒细胞相关性疾病
图片尺寸800x1129
嗜酸性粒细胞的假性增高的原因分析_医学界-助力医生临床决策和职业
图片尺寸865x577
hes,嗜酸性粒细胞增多综合征,通常会出现在多种恶性肿瘤患者中
图片尺寸640x480
【病例分享】嗜酸性粒细胞胃肠炎
图片尺寸479x899
一例不同寻常的腹痛,腹泻——嗜酸性粒细胞胃肠炎_医学界-助力医生
图片尺寸700x620
嗜酸性粒细胞增高你遇到这种疾病么
图片尺寸502x500
实验诊断学 嗜酸性粒细胞 淋巴细胞
图片尺寸1080x810
嗜酸性粒细胞增高你遇到这种疾病么
图片尺寸502x501
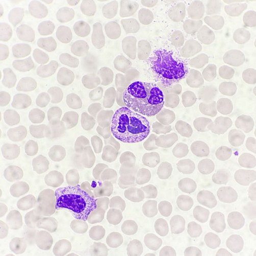
涂片显示嗜酸性粒细胞
图片尺寸1200x800
嗜酸性粒细胞
图片尺寸1500x1500
嗜酸性粒细胞增多症
图片尺寸500x444