四排牙齿图片

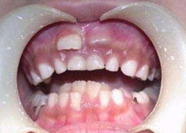
换牙期小朋友的牙片可以清楚看到有四排牙齿 (还有两颗是长在眼睛下方
图片尺寸1752x1280
8岁孩子"4排"牙齿,医生检查出原因,父母听完双腿发软!
图片尺寸600x431
我下面这排有4颗牙齿不齐,可以矫正或者有什么办法搞齐吗?
图片尺寸441x303
排牙ing
图片尺寸1080x1439
前牙排列方法
图片尺寸1440x1920
换牙期小朋友的牙片可以清楚看到有四排牙齿 (还有两颗是长在眼睛
图片尺寸1008x1280
儿童牙齿奇形怪状的图片_有来医生
图片尺寸750x500
换牙期小朋友的牙片可以清楚看到有四排牙齿 (还有两颗是长在眼睛下方
图片尺寸1592x1280
四颗牙齿排排靠
图片尺寸1080x1080
牙齿_影响_口腔
图片尺寸1000x499
日本高级技师三田老师全口排牙精品班厦门站招生啦-在线订票-互动吧
图片尺寸512x512
今天拔下排四号牙,异常顺利,可能是因为原本下排牙就少一颗,位置比较
图片尺寸810x1079
换牙期小朋友的牙片可以清楚看到有四排牙齿 (还有两颗是长在眼睛下方
图片尺寸1363x1280
今天拔下排四号牙,异常顺利,可能是因为原本下排牙就少一颗,位置比较
图片尺寸810x1079
口腔医学日常排牙
图片尺寸1080x1439
牙齿移动惊喜又感人,虎牙下来排齐了
图片尺寸570x427
第一次看见这种牙,上排牙齿怎么长得这么奇奇怪怪,乱七八糟的!
图片尺寸1227x1280
牙齿矫正一定要拔牙吗?一下子拔4颗是不是太多了?
图片尺寸640x1085
做牙齿矫正要拔四颗牙吗?一定要拔吗?有这个必要吗?
图片尺寸500x224
虎牙正畸拔出四颗四号牙
图片尺寸1080x1440