四环素牙美白

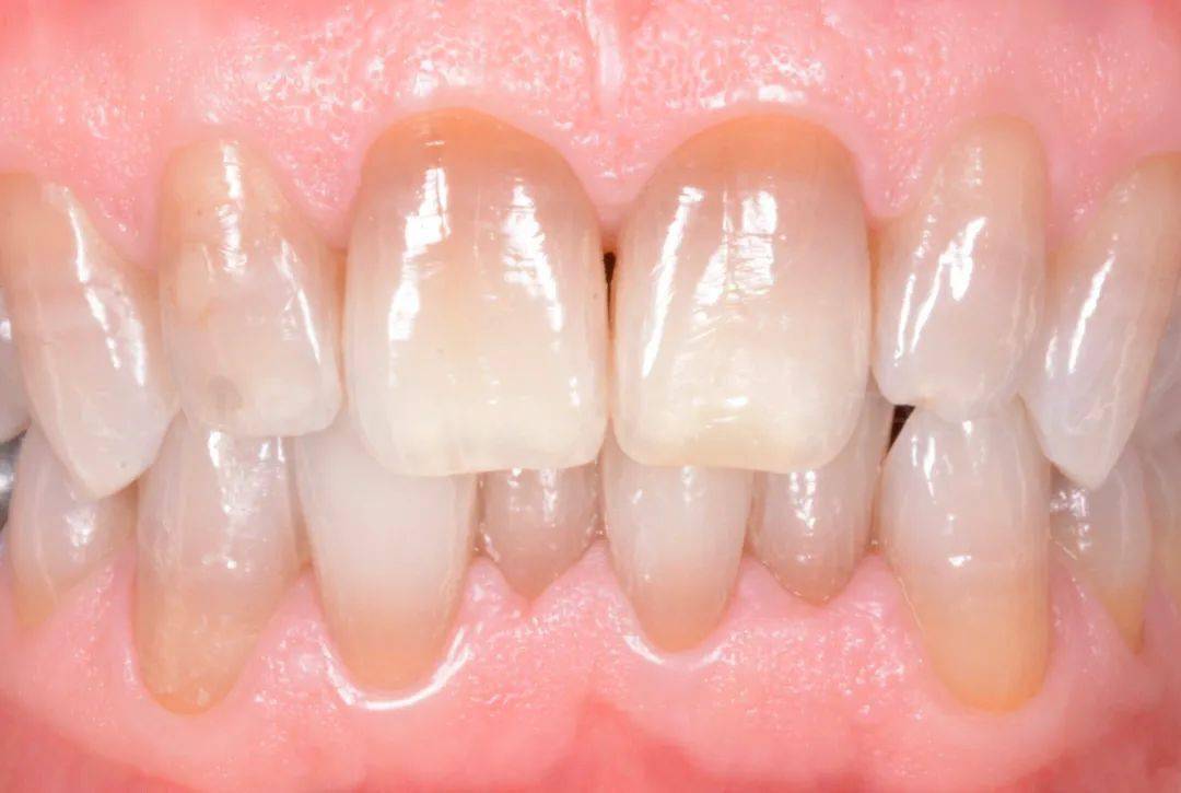
【牙医学堂】"无法漂白的"重度四环素牙漂白治疗
图片尺寸1080x725
轻度四环素牙诊室漂白一例
图片尺寸680x453
【牙医学堂】"无法漂白的"重度四环素牙漂白治疗
图片尺寸1080x725
轻度四环素牙图八:重度四环素牙【治疗】轻度四环素牙可以考虑美白和
图片尺寸4475x2421
四环素牙美白后图片
图片尺寸500x500
女性四环素牙冷光美白效果图
图片尺寸500x500
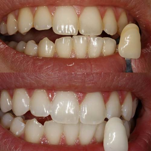
全瓷贴面 美学修复 四环素牙! - 好大夫在线
图片尺寸1024x686
【牙医学堂】"无法漂白的"重度四环素牙漂白治疗
图片尺寸1080x725
美雅仕私人订制牙齿美白剂凝胶使天生内源性黄牙四环素牙变白神器
图片尺寸800x800
四环素牙
图片尺寸500x500
【牙医学堂】"无法漂白的"重度四环素牙漂白治疗
图片尺寸1080x725
病例一:四环素牙的特殊染色 - 好大夫在线
图片尺寸2352x1568
美牙全瓷贴面四环素牙
图片尺寸1080x1440
四环素牙美白后图片
图片尺寸500x500
【牙医学堂】"无法漂白的"重度四环素牙漂白治疗
图片尺寸1080x725
【图】四环素牙的病因及树脂遮盖,漂白治疗
图片尺寸900x696
四环素牙怎么办
图片尺寸500x238
四环素牙美白前后照片
图片尺寸5184x3456
【牙医学堂】"无法漂白的"重度四环素牙漂白治疗
图片尺寸1080x725
四环素牙的表现及修复方法
图片尺寸278x269