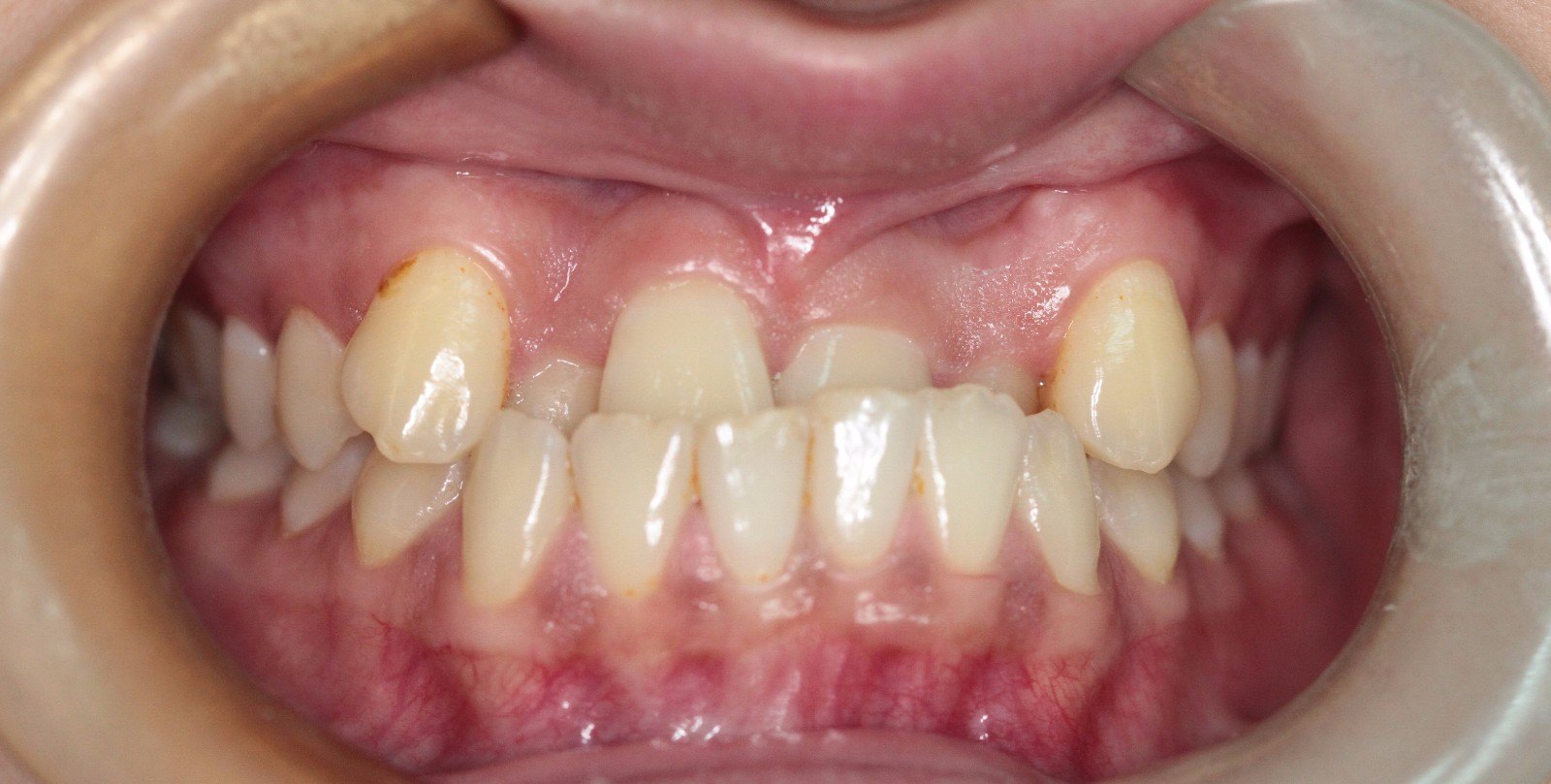
地包天偏颌

女孩地包天多大年龄矫正最好?
图片尺寸640x853
宝宝地包天,除了父母遗传,还可能是生活中这4个坏习惯引起的
图片尺寸618x445
牙齿地包天什么时候矫治
图片尺寸1280x852
儿童地包天矫正案例 (原创)
图片尺寸1920x1080
地包天整成了这样
图片尺寸1080x1439
地包天怎么判断是骨性地包天骨性和牙性区别
图片尺寸887x591
小孩地包天牵引器
图片尺寸698x510
楼主今年17岁,高二,地包天,上医院检查说已经错过了最好的矫正年龄
图片尺寸480x640
成人骨性地包天,非手术正畸拯救"月牙脸"
图片尺寸1200x800
科普孩子地包天早发现早治疗
图片尺寸3648x2432
下颌整形
图片尺寸510x679
引发地包天的不良习惯是些什么
图片尺寸507x267
原创 地包天患者矫治前后
图片尺寸1600x809
地包天矫正652天
图片尺寸1920x2560
地包天
图片尺寸500x500
不可忽视的"地包天"
图片尺寸610x406
地包天
图片尺寸448x335
严重偏颌,两位医生给了两套方案,不知道该做怎样的选择? - 知乎
图片尺寸2216x2558
牙齿地包天(兜齿)是怎样的一种体验?
图片尺寸720x322
偏颌说2
图片尺寸1440x1080