坠积性肺炎

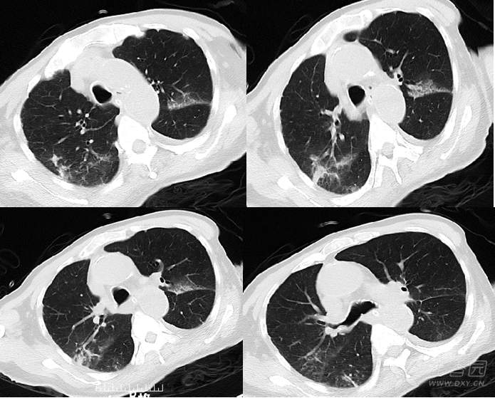
『专题讨论』坠积性肺炎,做气管镜灌洗有用吗?
图片尺寸925x699
『专题讨论』坠积性肺炎,做气管镜灌洗有用吗?
图片尺寸797x632
安眠药中毒至坠积性肺炎
图片尺寸1440x1080
35分胸部ct显示双肺下叶阴影,坠积性肺炎
图片尺寸1000x1334
卧床患者如何预防坠积性肺炎
图片尺寸600x384
坠积效应,坠积性改变,坠积性肺炎这三者的概念与区别
图片尺寸640x877
图14肺气肿伴双肺坠积效应.此类患者用平片判断肺有无改变是要漏诊的.
图片尺寸640x640
迎新年全科版病例分享第19期突发短时间心动过速您考虑什么
图片尺寸3264x2448
坠积性肺炎77180ppt课件
图片尺寸800x600
『专题讨论』坠积性肺炎,做气管镜灌洗有用吗?
图片尺寸695x559
ppt:坠积性肺炎的护理
图片尺寸1080x810
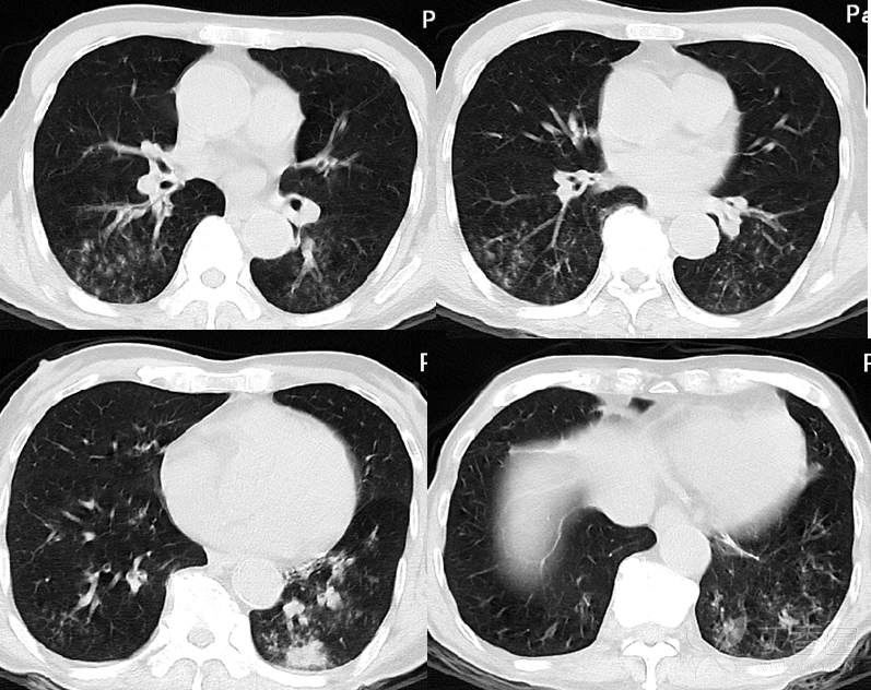
胸部ct扫描时如何识别肺坠积性效应?_患者_体位_影像
图片尺寸1080x444
检查及镜下介入治疗,给长期卧床病人并发的痰多,坠积性肺炎带来了福音
图片尺寸1080x1031
卧床患者如何预防坠积性肺炎?
图片尺寸640x390
双肺下叶坠积性肺炎食管气管呈术后改变
图片尺寸1080x1439
检查及镜下介入治疗,给长期卧床病人并发的痰多,坠积性肺炎带来了福音
图片尺寸1080x839
迎新年全科版病例分享第19期突发短时间心动过速您考虑什么
图片尺寸3264x2448
世博资讯世博高新医院量身对症诊疗77岁坠积性肺炎老人
图片尺寸386x240
坠积性肺炎中西医护理查房ppt课件
图片尺寸800x600
吸烟导致双肺坠积效应先来看一下正常人的胸部ct:胸廓的横径和前后径
图片尺寸640x640