坠积性肺炎CT

安眠药中毒至坠积性肺炎
图片尺寸1440x1080
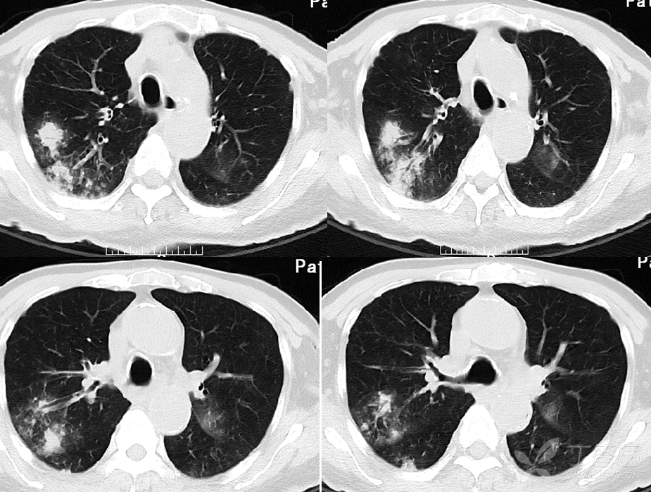
但双下肺病灶明显增多,从ct表现并结合临床,双下肺为坠积性肺炎成立
图片尺寸797x632
肺坠积性改变浅析
图片尺寸1080x1440
肺坠积性改变浅析
图片尺寸1080x1440
『专题讨论』坠积性肺炎,做气管镜灌洗有用吗?
图片尺寸925x699
肺坠积性改变浅析
图片尺寸1080x1440
肺炎精粹黑色胸腔积液如何甄辨损伤因素
图片尺寸617x320
肺坠积性改变浅析
图片尺寸1080x1440
写美篇胸ct:坠积效应. 什么是坠积效应? 坠机效应有称坠积性肺 .
图片尺寸640x854
写美篇胸ct:坠积效应. 什么是坠积效应? 坠机效应有称坠积性肺 .
图片尺寸640x854
『专题讨论』坠积性肺炎,做气管镜灌洗有用吗?
图片尺寸695x559
双肺下叶坠积性肺炎食管气管呈术后改变
图片尺寸1080x1439
坠积效应,坠积性改变,坠积性肺炎这三者的概念与区别
图片尺寸640x877
胸部ct扫描时如何识别肺坠积性效应?_患者_体位_影像
图片尺寸1080x444
35分胸部ct显示双肺下叶阴影,坠积性肺炎
图片尺寸1000x1334
胸部ct:双侧胸腔积液,肺挫伤!
图片尺寸2674x2000
这例叶间裂下坠征象真的是肺炎克雷伯杆菌感染引起的吗
图片尺寸650x606
肺坠积性改变浅析
图片尺寸800x600
精湛技术起沉疴,重症患者得余生——重症肺炎患者抢救纪实.
图片尺寸2000x2000
检查及镜下介入治疗,给长期卧床病人并发的痰多,坠积性肺炎带来了福音
图片尺寸1080x839