基底膜肾病

综述图表掌握抗肾小球基底膜病
图片尺寸1000x502
抗肾小球基底膜抗体病ppt学习教案
图片尺寸920x690
薄基底膜肾病的病因
图片尺寸400x300
正常肾小球 用pas染色以突出基底膜.肾小球血管袢薄而清 晰.
图片尺寸1080x810
图1 糖尿病肾病结构变化的电镜成像;a:系膜显著扩张;b:毛细血管基底膜
图片尺寸900x387
薄基底膜肾病-章友康ppt课件_第2页
图片尺寸920x690
薄基底膜肾病章友康课件
图片尺寸1500x1125
论坛
图片尺寸1226x1183
肾淀粉样变性的临床表现
图片尺寸550x384
gomori 染色 红色箭头:肾小球系膜,基底膜基质成分呈现绿色,而不
图片尺寸495x374
膜性肾病在病理上可分为4期,i期:电镜下肾小球基底膜和上皮细胞间的足
图片尺寸640x296
alport综合征与薄基底膜肾病这份幻灯值得看看
图片尺寸1080x810
《特发性膜性肾病》ppt课件
图片尺寸920x690
膜性肾病,3种方法可治疗
图片尺寸508x508
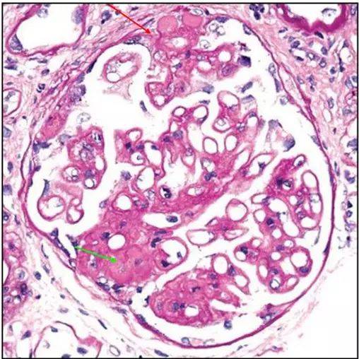
正常肾小球pas染色显示基底膜
图片尺寸504x330
薄基底膜肾病-章友康.ppt
图片尺寸1152x864
抗肾小球基底膜病yang
图片尺寸920x690
足细胞(podocyte),即肾小囊脏层上皮细胞,它附着于肾小球基底膜的外侧
图片尺寸640x390
血尿来源于薄基底膜肾病还是iga
图片尺寸1080x1440
薄基底膜肾病ppt
图片尺寸800x450