外生骨疣

浅谈甲下外生骨疣_疣_疣介绍 - 好大夫在线
图片尺寸4160x3120
第五趾骨末节骨疣 - 好大夫在线
图片尺寸1024x576
a severe case of erythrodermic psoriasis associated
图片尺寸785x546
遗传性多发性骨软骨瘤/外生骨疣(hme)简介_骨软骨瘤_介绍_发病原因
图片尺寸1568x1080
第五趾骨末节骨疣 - 好大夫在线
图片尺寸1024x576
什么是外生性骨疣它会恶变吗如何治疗呢医生告诉您
图片尺寸504x468
趾头上面不长趾甲长瘤子可能是外生骨疣
图片尺寸700x933
左颞骨外生骨疣
图片尺寸520x504
左颞骨外生骨疣
图片尺寸520x504
左颞骨外生骨疣
图片尺寸520x504
手脚骨节处皮肤经常长这种东西,应该是皮肤病,但是就
图片尺寸691x921
甲下骨疣的保甲处理 - 好大夫在线
图片尺寸4032x3024
趾甲结节(甲下外生骨疣--良版10.7)
图片尺寸450x600
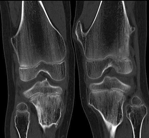
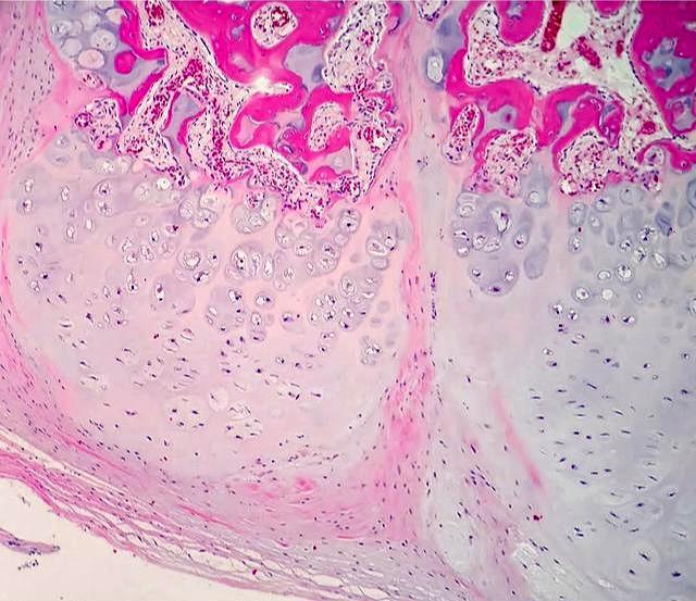
股骨外上髁骨软骨瘤亦称外生骨疣
图片尺寸1440x1920
左颞骨外生骨疣
图片尺寸520x504
病毒存在于棘层细胞中,可促使细胞增生,形成疣状损害.
图片尺寸500x665
什么是外生性骨疣它会恶变吗如何治疗呢医生告诉您
图片尺寸640x553
甲下外生骨疣
图片尺寸1053x702
这是趾疣嘛求大神治疗办法用激光说会反复到底怎么办
图片尺寸1328x747
外生骨疣~就是趾甲下面多出来一块骨头~#外生骨疣 #华东医院陈亮
图片尺寸1582x989