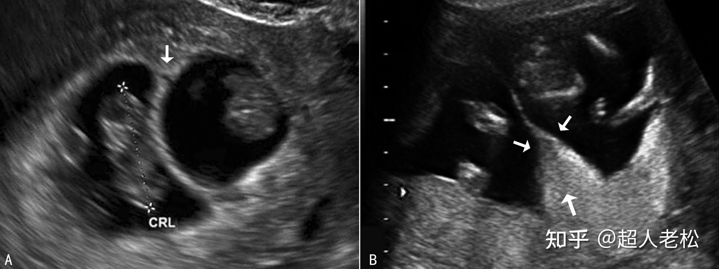
多胎妊娠 超声

明明白白做超声225不同类型多胎妊娠超声检查
图片尺寸2362x886
患者子宫腺肌症并多胎妊娠
图片尺寸720x576
九周单胎变多胎
图片尺寸864x1152
昨天去医院做四维彩超时,医生问我之前的宝贝是男孩还是女孩?
图片尺寸1189x689
河北夫妻迎来五胞胎,背后却是无尽的艰辛与牺牲!
图片尺寸1280x958
郑州八胞胎妈妈只有18岁,多胎妊娠不止加倍的喜悦,更是指数级的风险!
图片尺寸1080x2337
孕期b超图记录
图片尺寸1916x1407
每天靠外卖度日,老公忙于挣钱,顾不上我
图片尺寸1080x1440
多胎妊娠病因
图片尺寸450x330
妊娠早期超声词汇
图片尺寸660x452
多胎妊娠的超声诊断
图片尺寸640x479
姐妹们,我快要疯了
图片尺寸1200x708
多胎妊娠产检如闯关 济南南郊医院超声科专业团队为母婴安全保驾护航
图片尺寸1262x947
孕囊形态不规则
图片尺寸1440x1920
的现象,主要是这三个原因导致的:
图片尺寸595x753
羊双胎超声图像
图片尺寸1727x1080
一转眼你在我肚子里已经3个多月了 第一次超声见证你的到来 虽
图片尺寸1170x2532
24周03天——胎儿胆囊增大声像#病例分享 #彩色多普勒超声
图片尺寸880x1620
费用方面,在产前和新生儿期,多胎妊娠医疗费用明显较单胎高,这主要是
图片尺寸440x554
多胎妊娠的7大危害,希望男士认真看😭
图片尺寸768x862