多齿症是什么

罕见多齿症患者嘴里长满牙齿密集恐惧症的噩梦
图片尺寸450x378
罕见多齿症患者嘴里长满牙齿,密集恐惧症的噩梦
图片尺寸471x612
罕见多齿症患者嘴里长满牙齿密集恐惧症的噩梦
图片尺寸640x556
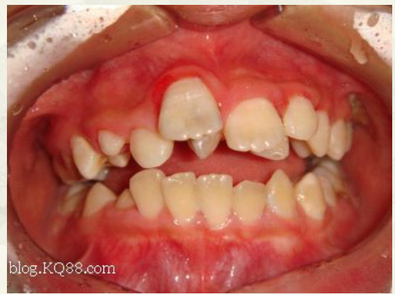
配合!多牙症"福不徒来"-第1张图片-追风博客
图片尺寸640x478
9岁童患多齿症 br />口内有300只牙
图片尺寸729x410
美国一只大丹犬患多齿症长有70颗牙齿
图片尺寸306x444
口腔科普 / 儿童齿科 / 多生牙_东莞台心医院口腔科_东莞台心医院牙科
图片尺寸398x237
儿童多生齿的形成原因 - 好大夫在线
图片尺寸453x304
什么是多生牙?太可恶了(口腔科普第三十二期)
图片尺寸339x166
顺利拔除萌出和埋伏两枚多生牙.手术时间半小时. 查看 查看 查看
图片尺寸3888x2592
多生牙造成牙齿排列不齐
图片尺寸640x431
右下颌45间多生牙
图片尺寸5184x3456
发生於下颚左右两侧小臼齿附近的多生牙
图片尺寸500x333
什么是多生牙
图片尺寸569x424
多生牙拥挤一例庞星明
图片尺寸549x344
关于多齿症是真的吗? - 知乎
图片尺寸922x1879
多生牙本来就是不该存在的牙齿,很多有多生牙的患者都会来到医院
图片尺寸684x423
印度女子打破世界最多牙齿吉尼斯纪录|牙齿|印度_新浪新闻
图片尺寸684x450
有关于多生牙的一些内容介绍—什么是多生牙,有什么危害?怎样治疗?
图片尺寸665x925
多生牙的危害
图片尺寸1600x1200