夜奶龋齿图片

让宝宝快速戒掉夜奶,解放宝妈
图片尺寸1040x780
科学育儿真的很重要,小时候习惯含奶入睡,如今14颗龋齿,作为 - 抖音
图片尺寸1074x1434
普通人应该怎么做?|母乳|乳牙|龋齿|配方奶|宝宝添加辅食_网易订阅
图片尺寸660x440
喂夜奶既折磨人,又对宝宝有害,学会这些方法帮宝妈告别"崩溃"
图片尺寸700x525
龋齿图片_有来医生
图片尺寸750x500
如若还继续吃夜奶的话,很容易加大宝宝长龋齿的几率,会不利于宝宝牙齿
图片尺寸640x424
类型,主要由于不良的喂养习惯所致,包括:含奶瓶入睡,牙齿萌出后喂夜奶
图片尺寸1280x853
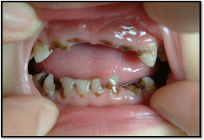
一岁三个月零25天正式断奶(夜奶龋齿)
图片尺寸1080x810
22个月宝宝奶瓶龋门牙掉了一半有什么好办法防止恶化伤到神经
图片尺寸1280x853
乳牙龋坏(附蛀牙图片)以后需要治疗么
图片尺寸480x300
含着奶头睡觉牙齿就这样烂掉了
图片尺寸399x273
2岁孩子不得不全身麻醉治疗,竟然是因为母乳
图片尺寸563x304
什么是奶嘴龋
图片尺寸300x225
下牙奶瓶龋齿图片_有来医生
图片尺寸667x500
和糖果没有关系,是父母的坏习惯所导致|喝夜奶|龋齿|母乳|牙齿_网易
图片尺寸418x274
乳牙会换的,不用治
图片尺寸750x1000
乳牙中龋
图片尺寸4512x4512
奶瓶齿龋齿图片_有来医生
图片尺寸666x500
5岁女孩乳牙发黑,家长没在意,半年后孩子脸肿了
图片尺寸1200x800
宝妈啥时候给宝宝断夜奶最合适?宝宝的三个举动是信号,不要心软
图片尺寸2000x1340