大脑凸面脑膜瘤图片

额顶部凸面脑膜瘤
图片尺寸1797x1966
大脑凸面脑膜瘤标准化临床路径
图片尺寸549x610
大脑凸面脑膜瘤标准化临床路径
图片尺寸610x524
大脑凸面脑膜瘤
图片尺寸1475x1640
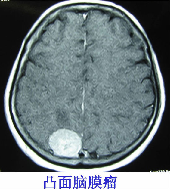
大脑凸面脑膜瘤
图片尺寸1486x1565
凸面脑膜瘤手术策略与技巧theneurosurgicalatlas全文翻译
图片尺寸618x583
额顶部凸面脑膜瘤
图片尺寸818x935
凸面脑膜瘤 (原创)
图片尺寸720x540
巨大的大脑凸面脑膜瘤,直径约6cm.
图片尺寸600x396
额顶部凸面脑膜瘤海绵窦区脑膜瘤
图片尺寸665x814
大脑凸面脑膜瘤
图片尺寸1451x1565
颞部凸面脑膜瘤
图片尺寸1256x1348
神经外一科病例分享(肿瘤篇):凸面脑膜瘤(右顶叶)
图片尺寸2124x1200
脑膜瘤多属良性,呈球形或结节状,生长于脑实质外,但常常嵌入大脑半球
图片尺寸930x697
大脑凸面脑膜瘤
图片尺寸3490x2150
巨大的大脑凸面脑膜瘤,直径约6cm.
图片尺寸472x400
手机软件精准定位下切除大脑凸面脑膜瘤
图片尺寸750x526
凸面脑膜瘤手术策略与技巧theneurosurgicalatlas全文翻译
图片尺寸731x1280
大脑凸面脑膜瘤
图片尺寸1414x1387
高建忠主任医师大脑凸面脑膜瘤手术
图片尺寸325x510