大脑镰出血

脑干出血15毫升!烟台山医院为患者及时手术 挽回生命
图片尺寸426x522
成人血友病同一脑叶7次出血病例报告
图片尺寸249x276
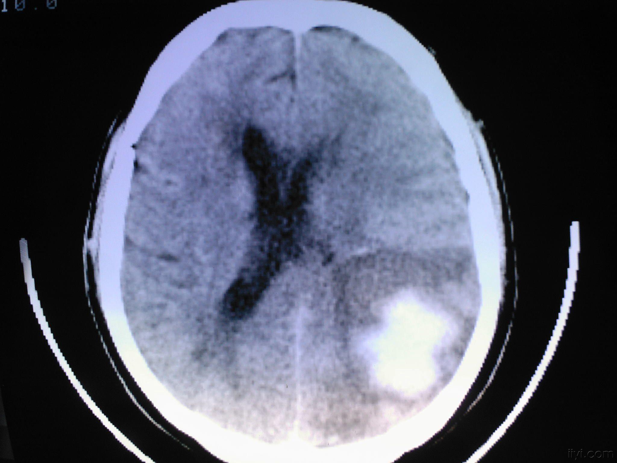
脑出血图片
图片尺寸764x500
基底节区脑出血 - 好大夫在线
图片尺寸2976x3968
大脑镰硬膜下出血
图片尺寸512x512
大脑其实是被无色透明的水(脑脊液)浸泡和包围着.
图片尺寸2868x1402
形形色色脑出血
图片尺寸292x324
应用头部亚低温治疗高血压脑出血临床效果分析
图片尺寸3094x1819
范福清,女,61岁,sahlmca.an左侧额叶脑出血
图片尺寸4032x3024
一个27岁,一个30岁,熬夜打游戏"脑出血"!
图片尺寸640x384
脑出血钻孔引流术病例 - 好大夫在线
图片尺寸3909x2330
宝鸡第三医院高级卒中中心创建典型病例脑出血篇
图片尺寸776x550
乡村全科助理医师:脑出血
图片尺寸899x454
讨论右侧肢体麻木无力伴精神障碍2周
图片尺寸2048x1536
颅内出血增加的原因
图片尺寸3264x2448
20200826 钱明祖 m70 外伤术后tccf(亚急性sdh,右颞叶出血)
图片尺寸2006x1438
并认为上述影像学特征是诊断大脑镰旁少量蛛网膜下腔出血的可靠征象
图片尺寸623x649
脑出血
图片尺寸492x542
资源蛛网膜下腔出血各种图片
图片尺寸500x368
较少见:大脑镰硬膜下血肿,昨天值班见的
图片尺寸2048x1536