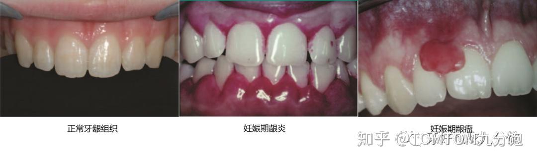
妊娠期龈炎

谈医论症|妊娠期牙龈炎_健康症状网
图片尺寸625x415
妊娠期龈瘤图
图片尺寸750x500
部分患者在妊娠期龈炎的基础上还会出现妊娠期龈瘤(也称孕瘤),瘤体多
图片尺寸553x319
谈医论症|妊娠期牙龈炎_健康症状网
图片尺寸640x429
妊娠期牙龈炎快来看孕期必备牙齿护理
图片尺寸1080x1440
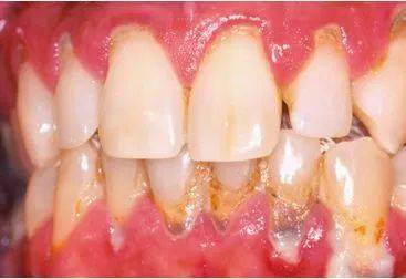
1,妊娠性牙龈炎:30~99%孕产妇会发生妊娠性牙龈炎,牙龈呈深红色,肿胀
图片尺寸369x226
②青春期龈炎:青春期性激素水平的改变会使牙龈更容易发炎,或使原有的
图片尺寸600x214
守护您的牙齿健康主题科普妊娠期龈炎与妊娠期龈瘤
图片尺寸539x358
妊娠期牙龈炎的防治
图片尺寸680x453
妊娠期妇女正确的预防治疗牙龈炎的方法
图片尺寸403x317
妊娠期多发性牙龈瘤1例
图片尺寸209x261
备孕期间牙龈发炎肿痛怎么办 牙龈肿痛就要这样做
图片尺寸500x500
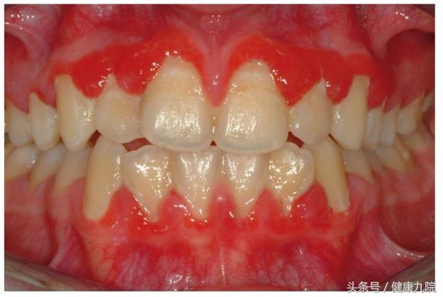
指妇女妊娠期间,由于女性激素水平升高,原有的牙龈慢性炎症加重,是
图片尺寸565x318
牙龈内的血管扩张,包括通透性增加等,加重了原来的牙龈炎,牙龈肥大呈
图片尺寸472x315
孕期tupian妊娠期龈炎口腔医学插图插画
图片尺寸447x300
展开阅读全文 春雨医生专家团:您这是妊娠期龈炎
图片尺寸400x400
守护您的牙齿健康主题科普妊娠期龈炎与妊娠期龈瘤
图片尺寸645x353
妊娠期龈炎妊娠性牙龈炎通常在妊娠第二个月晚些时候出现,在妊娠第八
图片尺寸1080x327
2,妊娠性牙周炎:牙龈红肿,出血,咀嚼无力,牙槽骨吸收,牙齿松动,主要是
图片尺寸367x252
造成妊娠期牙龈炎的原因有什么呢
图片尺寸600x400