宫外孕包块

输卵管峡部妊娠囊,可见心管搏动
图片尺寸500x666
见过更大的,39cm…诺,你们最喜欢的大包块,3kg!宫外孕破裂.
图片尺寸1280x1707
宫外孕破裂型包块
图片尺寸768x576
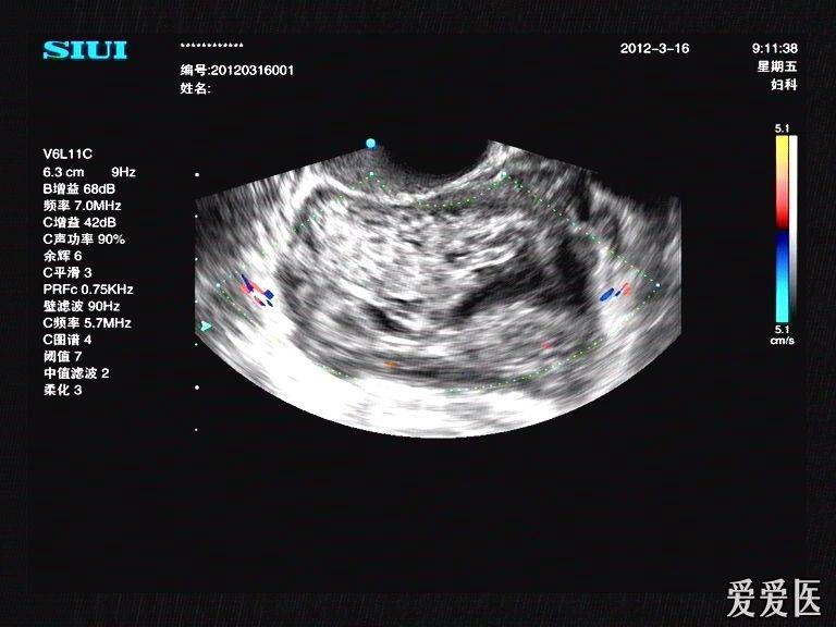
异常位妊娠(包块型)11.jpg
图片尺寸768x546
宫外孕保守治疗失败后手术经历
图片尺寸1080x2400
求助宫外孕保守治疗包块缩小后反增大?
图片尺寸957x960
安乡县中医医院妇科腹腔镜盆腔包块,宫外孕手术
图片尺寸1439x1079
宫外孕
图片尺寸479x359
宫外孕术后,排出大血块
图片尺寸600x801
典型和不典型的宫外孕超声表现你都要掌握哦
图片尺寸288x256
腹腔镜下宫外孕图片
图片尺寸640x480
右附件囊性包块异位妊娠
图片尺寸4128x3096![【病例讨论】一例误诊为宫外孕的手术,险些下不了台 [精华] [病例帖]](https://i.ecywang.com/upload/1/img2.baidu.com/it/u=4018079506,146777058&fm=253&fmt=auto&app=138&f=JPEG?w=500&h=375)
【病例讨论】一例误诊为宫外孕的手术,险些下不了台 [精华] [病例帖]
图片尺寸670x502
右附件囊性包块异位妊娠
图片尺寸4128x3096
图 13c 患者 3 天后的右附件矢状面所见,此时才发现附件包块(详见下图
图片尺寸640x436
何谓宫外孕宫外孕的胎儿能顺利生长吗能要吗兼谈宫外孕的超声显像特点
图片尺寸640x445
脾脏宫外孕图片
图片尺寸747x500
病例回顾 极少见这么大的宫外孕#经腹部超声宫外附件区包块 # - 抖音
图片尺寸1153x928
宫外孕两年包块没有消失还有盆腔积液怎么办好
图片尺寸960x1280
右侧附件增厚,宫外孕不排除 2.
图片尺寸720x576